του Γιώργου Κουτσικάκη, Χειρουργού Οδοντιάτρου Μ.Sc., medlabnews.gr
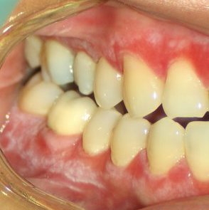
Αν νιώθετε τα ούλα σας σαν να ξεφλουδίζουν και υπάρχουν κοκκινίλες, φυσαλίδες που σκάνε και αφήνουν διαβρώσεις και ελκώσεις και αν αισθάνεστε καυσαλγία και δυσκολία να φάτε σκληρές τροφές ή πιπεράτες ή ξινές τότε πάσχετε από αποφλοιωτική ουλίτιδα.
Η ουλίτιδα αυτή είναι διαφορετική από τη συνήθη και δεν οφείλεται σε μικροβιακό παράγοντα, συνεπώς δεν θεραπεύεται με στοματική υγιεινή και καλό καθαρισμό, αν και αυτά μπορεί να βελτιώσουν την κατάσταση.
Συνιστούμε μαλακή οδοντόβουρτσα, ήπιες κινήσεις και ένα ήπιο στοματικό διάλυμα.
Η αποφλοιωτική ουλίτιδα είναι η στοματική εκδήλωση δερματολογικών νοσημάτων συνήθως αυτοάνοσων χωρίς σαφή αιτιολογία όπως: ομαλός λειχήνας, καλόηθες πεμφιγοειδές, πομφολυγώδες πεμφιγοειδές, πέμφιγα, και άλλα. Ορισμένα από τα προαναφερθέντα είναι αρκετά σοβαρά.
Θεραπεύεται με κορτικοστεροειδή τοπικά ή συστηματικά.
Σε κάθε περίπτωση συνιστάται η παραπομπή σε στοματολόγο που σε συνεργασία με δερματολόγο θα θεραπεύσουν την υποκείμενη παθολογική κατάσταση ώστε να εξαφανιστεί και η αποφλοιωτική ουλίτιδα.
Ιατρικά Νέα Θέματα για την υγεία | Το εγκυρότερο ελληνικό portal με θέματα υγείας, διατροφής, ομορφιάς, φυσικής κατάστασης, ιατρικών θεμάτων
