Συντάκτης Γιώργος Κουτσικάκης Χειρουργός Οδοντίατρος Μ.Sc., medlabnews.gr
Ο σακχαρώδης διαβήτης είναι μία νόσος του μεταβολισμού που χαρακτηρίζεται από απουσία έκκρισης ινσουλίνης (διαβήτης τύπου 1 ή νεανικός διαβήτης) ή ανεπαρκή έκκριση ή πλημμελή απορρόφησή της από τα κύτταρα του οργανισμού (διαβήτης τύπου 2). Συνέπεια αυτού είναι η ύπαρξη αυξημένου ποσού γλυκόζης στο αίμα.
Ο διαβήτης επηρεάζει τα τριχοειδή αλλά και τα μεγαλύτερα αγγεία με αποτέλεσμα συνέπειες στην καρδιά, στα νεφρά, στα μάτια, στα νεύρα αλλά και στο στόμα.
Όσον αφορά το στόμα:
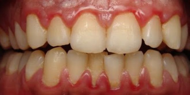
Υπάρχει μία αλληλεπίδραση διαβήτη και περιοδοντίτιδας. Δηλαδή ο διαβήτης ευνοεί την ανάπτυξη περιοδοντίτιδας και η ύπαρξη περιοδοντίτιδας απορρυθμίζει το διαβήτη. Αντιλαμβάνεται κανείς εύκολα πόσο σημαντική είναι η θεραπεία της περιοδοντίτιδας αλλά και ο έλεγχος του διαβήτη. Καλόν είναι ο διαβητολόγος να είναι ενήμερος του φαινομένου και να παραπέμπει τον ασθενή του για οδοντιατρικό έλεγχο.
Παράλληλα ο διαβήτης μπορεί να προκαλέσει ξηροστομία με δυσμενείς επιπτώσεις κακοσμία του στόματος, ευνοϊκό περιβάλλον για ανάπτυξη μυκητίασης, συγχειλίτιδας (φλεγμονή στις γωνίες του στόματος) και τερηδόνας. Επίσης μπορεί να εμφανιστεί καυσαυλγία και μείωση της γευστικής οξύτητας ενώ παρατηρείται αφ΄ ενός προδιάθεση σε λοιμώξεις, αφ΄ ετέρου καθυστέρηση στην επούλωση τραυμάτων.
Ο διαβήτης δεν θεραπεύεται αλλά ελέγχεται με τη σωστή διατροφή, με άσκηση και με φάρμακα. Εφ’ όσον αυτό συμβαίνει τα παραπάνω συμπτώματα είναι περιορισμένα.
Ο αρρύθμιστος διαβήτης ή η άγνοια ύπαρξης είναι εξαιρετικά επικίνδυνες καταστάσεις. Σε περίπτωση ανάπτυξης αποστήματος προσφέρεται ανακουφιστική βοήθεια με αντιβιοτική κάλυψη με συνδυασμό φαρμάκων και αναβολή των οδοντιατρικών εργασιών που μπορούν να αναβληθούν μέχρι να ρυθμιστεί ο διαβήτης. Όταν μία φλεγμονή επιμένει παρά την εφαρμογή της ενδεδειγμένης αγωγής συνιστάται η παραπομπή σε νοσηλευτική μονάδα σε τμήμα γναθοπροσωπικής χειρουργικής. Μετά από μία χειρουργική επέμβαση συνιστάται η λήψη επαρκούς πολτοποιημένης τροφής για να αποφευχθεί ο κίνδυνος υπογλυκαιμίας.
Καλόν είναι όταν προγραμματίζεται επίσκεψη στο οδοντιατρείο ο διαβητικός να έχει φάει ελαφρά και να έχει πάρει τα φάρμακά του, ώστε να μην κινδυνεύει από υπεργλυκαιμία ή υπογλυκαιμία που είναι και πιο επικίνδυνη.
Γενικά θα λέγαμε ότι ο διαβητικός εφ΄ όσον ακολουθεί τις οδηγίες του διαβητολόγου που τον παρακολουθεί, κρατά τις τιμές γλυκόζης υπό έλεγχο και εφαρμόζει καλή στοματική υγιεινή σε συνδυασμό με τακτικές επισκέψεις στον οδοντίατρο μπορεί να έχει ένα καλό επίπεδο ζωής όπως και ένας μη διαβητικός.
Ιατρικά Νέα Θέματα για την υγεία | Το εγκυρότερο ελληνικό portal με θέματα υγείας, διατροφής, ομορφιάς, φυσικής κατάστασης, ιατρικών θεμάτων

