Συντάκτης Γιώργος Κουτσικάκης Χειρουργός Οδοντίατρος Μ.Sc., medlabnews.gr
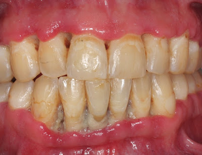
Χαρακτηρίζεται από έντονο πόνο και πληγές στις παρυφές των ούλων που βρίσκονται μεταξύ των δοντιών (μεσοδόντια ούλα). Τα ούλα καλύπτονται από ψευδομεμβράνες, αιμορραγούν εύκολα ενώ παρουσιάζεται κακοσμία και συχνά μεταλλική γεύση.

Οφείλεται σε αναερόβια μικρόβια (κυρίως καπνοβακτηρίδια και σπειροχέτες).
Δεν είναι μεταδοτική με κανένα τρόπο.
H οξεία ελκονεκρωτική ουλίτιδα αποτελεί μία ξεχωριστή πάθηση των ούλων που δεν οφείλεται αποκλειστικά σε πλημμελή στοματική υγιεινή και συσσώρευση της οδοντικής μικροβιακής πλάκας. Προδιαθεσικοί παράγοντες είναι η κακή στοματική υγιεινή, το κάπνισμα, η κακή διατροφή, αλλά κυρίως το ψυχολογικό στρες και η ανοσοκαταστολή (όταν το ανοσοποιητικό σύστημα του οργανισμού έχει καταπέσει).
Η ελκονεκρωτική ουλίτιδα μπορεί να εμφανίζεται σε οξεία ή χρόνια μορφή με επαναλαμβανόμενα επεισόδια, να εξελίσσεται σε ελκονεκρωτική περιοδοντίτιδα, στοματίτιδα ή φαρυγγίτιδα ή να συνυπάρχει με τα νοσήματα αυτά.

Στις αναπτυγμένες χώρες εμφανίζεται συνήθως σε νεαρούς ενήλικες. Εμφανίζεται και σε ασθενείς με AIDS.
Θεραπευτικά χορηγούμε το αντιβιοτικό μετρανιδαζόλη, τρεις φορές την ημέρα για δέκα συνήθως ημέρες και συνήθη παυσίπονα φάρμακα. Συνιστούμε καλή στοματική υγιεινή και πλύσεις με οξυζενέ. Όταν τα έντονα συμπτώματα υποχωρήσουν κάνουμε καλό καθαρισμό των δοντιών μαζί με υπουλικές αποξέσεις.
Η οξεία ελκονεκρωτική ουλίτιδα θεραπεύεται οριστικά.
Πηγή: medlabgr.blogspot.com
Ιατρικά Νέα Θέματα για την υγεία | Το εγκυρότερο ελληνικό portal με θέματα υγείας, διατροφής, ομορφιάς, φυσικής κατάστασης, ιατρικών θεμάτων
