Home / Tag Archives: οδοντιατρική (page 2)

Tag Archives: οδοντιατρική

Οι ρίζες των δοντιών πότε και πώς προσβάλλονται από τερηδόνα;

Οι ρίζες των δοντιών πότε και πώς προσβάλλονται από τερηδόνα;

του Γιώργου Κουτσικάκη, Χειρουργού Οδοντιάτρου Μ.Sc., medlabnews.gr Με την  ηλικία, και όχι μόνο, συχνά τα ούλα υφιζάνουν και έτσι εκθέτουν τις ρίζες των δοντιών στο στοματικό περιβάλλον. Συνεπώς και οι ρίζες των δοντιών είναι δυνατόν να προσληφθούν από τερηδόνα. Η οδοντική ουσία που περιβάλλει τη ρίζα του δοντιού λέγεται  οστεΐνη και …

Περισσότερα

Καταργούνται οι γεωγραφικοί περιορισμοί για οδοντιάτρους και φυσικοθεραπευτές

Καταργούνται οι γεωγραφικοί περιορισμοί για οδοντιάτρους και φυσικοθεραπευτές

Καταργούνται σύμφωνα με τροπολογία του υπ. Υγείας οι περιορισμοί ως προς τα γεωγραφικά όρια άσκησης επαγγέλματος για οδοντιάτρους και φυσικοθεραπευτές. Με την ίδια τροπολογία, καταργείται επίσης η απαγόρευση διατήρησης περισσότερων του ενός οδοντιατρείων ή εργαστηρίων φυσικοθεραπείας. Σε περίπτωση που ο οδοντίατρος ασκεί τη δραστηριότητά του σε περισσότερα από ένα ιδιωτικά …

Περισσότερα

Ο Οδοντιατρικός Συλλόγος Πειραιώς για το λουκέτο που μπήκε σε επιχείρηση που πραγματοποιούσε παράνομα λευκάνσεις δοντιών

Ο Οδοντιατρικός Συλλόγος Πειραιώς για το λουκέτο που μπήκε σε επιχείρηση που πραγματοποιούσε παράνομα λευκάνσεις δοντιών

Λουκέτο μπήκε σε επιχείρηση που πραγματοποιούσε παράνομα λευκάνσεις δοντιών, χωρίς να διαθέτει σχετική άδεια, θέτοντας σε κίνδυνο την υγεία των πολιτών. Την καταγγελία για την ύπαρξη της παράνομης επιχείρησης είχε κάνει στο υπουργείο Υγείας ο Οδοντιατρικός Σύλλογος Πειραιώς (ΟΣΠ) και έπειτα από το πόρισμα του Σώματος Επιθεωρητών Υπηρεσιών Υγείας και …

Περισσότερα

Οδηγίες στοματικής υγιεινής για τους γονείς και φροντιστές των ατόμων με αναπηρία

Οδηγίες στοματικής υγιεινής για τους γονείς και φροντιστές των ατόμων με αναπηρία

Η στοματική υγεία είναι άρρηκτα συνδεδεμένη με τη γενική υγεία, καθώς επηρεάζει και επηρεάζεται από αυτήν. Σύμφωνα με τα μέλη του Οδοντιατρικού Συλλόγου Πειραιώς (ΟΣΠ), η φροντίδα των δοντιών είναι πολύ περισσότερο σημαντική για τα άτομα με αναπηρία, τα οποία έχουν επιβαρυμένη γενική υγεία και η πρόσβαση των οποίων σε …

Περισσότερα

Τι πρέπει να προσέχουμε πίνοντας χυμό από λεμόνι – λεμονάδα

Τι πρέπει να προσέχουμε πίνοντας χυμό από λεμόνι - λεμονάδα

της Αγγελικής Μήλιου, βιολόγου, medlabnews.gr Ο χυμός του λεμονιού περιέχει μεγάλη ποσότητα από Βιταμίνες και κυρίως βιταμίνη C. Παλιότερα τον χυμό του λεμονιού τον χρησιμοποιούσαν σαν αντισκορβουτικό. Πέρα από την βιταμίνη C περιέχει σε βιταμίνες Β1, Β2, Β3, Β6, το λεμόνι αποτελεί μια μικρή διατροφική έκπληξη, πλούσια σε πολύτιμα θρεπτικά συστατικά. Αρκεί να αναφέρουμε, …

Περισσότερα

Στοματικό απόστημα: Μια δυσάρεστη διόγκωση στο στόμα ή και στο πρόσωπο

Στοματικό απόστημα: Μια δυσάρεστη διόγκωση στο στόμα ή και στο πρόσωπο

Συντάκτης Γιώργος Κουτσικάκης Χειρουργός Οδοντίατρος Μ.Sc., medlabnews.gr Το  στοματικό απόστημα είναι ένα θορυβώδες πλην όμως αντιμετωπίσιμο φαινόμενο. Συνήθως όλα ξεκινούν από ένα χαλασμένο και παραμελημένο δόντι.  Όταν αυτό νεκρωθεί, μικρόβια και τοξίνες περνάνε από το άκρο της ρίζας στους περιβάλλοντες ιστούς και ξεκινά  εκεί φλεγμονή.  Αυτή μπορεί να εξελιχθεί ήπια χωρίς …

Περισσότερα

Λευκάνσεις δοντιών και σε κομμωτήρια

Λευκάνσεις δοντιών και σε κομμωτήρια

Ο Οδοντιατρικός Σύλλογος Αττικής, στα πλαίσια των αρμοδιοτήτων του, προέβη σε έλεγχο ιδιωτικών φορέων προκειμένου να διαπιστώσει την νόμιμη ή μη παροχή οδοντιατρικών υπηρεσιών. Στα πλαίσια του ελέγχου αυτού, διαπιστώθηκε η λειτουργία καταστημάτων στη Γλυφάδα και στο Χαλάνδρι όπου παρέχονταν οδοντιατρικές υπηρεσίες λεύκανσης δοντιών, χωρίς τα καταστήματα αυτά να έχουν …

Περισσότερα

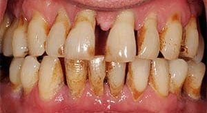
Περιοδοντίτιδα. Τι είναι, πώς προκαλείται και τι προκαλεί;

Περιοδοντίτιδα. Τι είναι, πώς προκαλείται και τι προκαλεί;

της Κασσιανής Τσώνη, medlabnews.gr Η περιοδοντική νόσος αποτελεί το υπ’ αριθμόν ένα αίτιο απώλειας δοντιών σε ηλικίες άνω των 35. Υπάρχει πιθανότητα κάποιος να έχει περιοδοντίτιδα και να μην το γνωρίζει. Ωστόσο εάν διαγνωσθεί στα πρώιμα στάδια , μπορεί να αναστραφεί με κατάλληλη φροντίδα. Η περιοδοντίτιδα πρόκειται για μια σειρά από …

Περισσότερα

Κακοσμία του στόματος. Που οφείλεται και πώς μπορεί να απαλλαγείτε;

Κακοσμία του στόματος. Που οφείλεται και πώς μπορεί να απαλλαγείτε;

Συντάκτης Γιώργος Κουτσικάκης Χειρουργός Οδοντίατρος Μ.Sc., medlabnews.gr Η άσχημη αναπνοή ή κακοσμία του στόματος είναι μία πολύ δυσάρεστη κατάσταση που κρατά σε απόσταση το συνομιλητή μας. Μπορεί να συμβαίνει κατά περίπτωση ή να είναι μία χρόνια κατάσταση. Ένα 20% του πληθυσμού υποφέρει από κάποιου βαθμού κακοσμία του στόματος. Η κακοσμία μπορεί …

Περισσότερα

Kάταγμα δοντιού. Πονάτε στο δάγκωμα; Μήπως έχει σπάσει δόντι;

Kάταγμα δοντιού. Πονάτε στο δάγκωμα; Μήπως έχει σπάσει δόντι;

Συντάκτης Γιώργος Κουτσικάκης Χειρουργός Οδοντίατρος Μ.Sc., medlabnews.gr Είναι δυνατόν να σπάσει ένα κομμάτι της μύλης του δοντιού  από τραύμα ή από τερηδόνα. Όταν είναι επιφανειακό δεν προκαλεί ιδιαίτερο πόνο και είναι εύκολο να αποκατασταθεί συνήθως με μία ανασύσταση σύνθετης ρητίνης ή ένα επένθετο. Αν το σπάσιμο είναι βαθύ θα χρειαστεί ενδοδοντική …

Περισσότερα

Γνωρίζετε ότι το νερό της πισίνας μπορεί να επηρεάσει τα δόντια σας;

Γνωρίζετε ότι το νερό της πισίνας μπορεί να επηρεάσει τα δόντια σας;

Συντάκτης Γιώργος Κουτσικάκης Χειρουργός Οδοντίατρος Μ.Sc., medlabnews.gr Οι χημικές ουσίες στις πισίνες μπορεί να οδηγήσουν στο δυσχρωματισμό των δοντιών αν κολυμπάτε πολλές ώρες. Έρευνες  έδειξαν  ότι παραμονή στο νερό για πάνω από 6 ώρες την εβδομάδα κατέληξαν σε δυσχρωματισμό των προσθίων δοντιών. Η αιτία είναι το αυξημένο pH του νερού με συνέπεια να διασπώνται οι …

Περισσότερα

Η περιοδοντίτιδα σχετίζεται με αυξημένο κίνδυνο καρκίνου στις γυναίκες μέσης και τρίτης ηλικίας

Η περιοδοντίτιδα σχετίζεται με αυξημένο κίνδυνο καρκίνου στις γυναίκες μέσης και τρίτης ηλικίας

Η περιοδοντική νόσος ή περιοδοντίτιδα- σχετίζεται με αυξημένο κίνδυνο για την εμφάνιση διαφόρων ειδών καρκίνου στις γυναίκες, ιδίως σε εκείνες με μεγαλύτερη ηλικία που έχουν πλέον εμμηνόπαυση, σύμφωνα με μια νέα αμερικανική επιστημονική έρευνα. Ο αυξημένος κίνδυνος αφορά τόσο τις καπνίστριες, όσο και τις μη καπνίστριες. Οι ερευνητές, με επικεφαλής …

Περισσότερα

Έντονη κακοσμία, μεταλλική γεύση μπορεί να οφείλονται σε οξεία ελκονεκρωτική ουλίτιδα

Έντονη κακοσμία, μεταλλική γεύση μπορεί να οφείλονται σε οξεία ελκονεκρωτική ουλίτιδα

Συντάκτης Γιώργος Κουτσικάκης Χειρουργός Οδοντίατρος Μ.Sc., medlabnews.gr Χαρακτηρίζεται από έντονο πόνο και πληγές στις παρυφές των ούλων που βρίσκονται μεταξύ των δοντιών (μεσοδόντια ούλα). Τα ούλα καλύπτονται από ψευδομεμβράνες, αιμορραγούν εύκολα ενώ παρουσιάζεται κακοσμία και συχνά μεταλλική γεύση. Οφείλεται σε αναερόβια μικρόβια (κυρίως καπνοβακτηρίδια και σπειροχέτες). Δεν είναι μεταδοτική με …

Περισσότερα

15 Μαΐου – Παγκόσμια Ημέρα Ορθοδοντικής Φροντίδας «Η ζωή σας, το χαμόγελό σας, ο ορθοδοντικός σας!»

15 Μαΐου - Παγκόσμια Ημέρα Ορθοδοντικής Φροντίδας «Η ζωή σας, το χαμόγελό σας, ο ορθοδοντικός σας!»

Ορθοδοντικός έλεγχος: Γιατί πρέπει να γίνεται μέχρι την ηλικία των 7 ετών Την πρώτη Παγκόσμια Ημέρα Ορθοδοντικής Υγείας διοργανώνει εφέτος στις 15 Μαΐου η Παγκόσμια Ορθοδοντική Ομοσπονδία (World Federation of Orthodontists, W.F.O.), σε μια προσπάθεια να αυξήσει την ενημέρωση του κοινού για τα οφέλη που παρέχει στην υγεία η άμεση …

Περισσότερα

Πονόδοντος, Στοματικός πόνος. Ποιες μπορεί να είναι οι αιτίες του; Γιατί πρέπει να πάτε στον οδοντίατρο όσο υπάρχει πόνος;

Πονόδοντος, Στοματικός πόνος. Ποιες μπορεί να είναι οι αιτίες του; Γιατί πρέπει να πάτε στον οδοντίατρο όσο υπάρχει πόνος;

Συντάκτης Γιώργος Κουτσικάκης Χειρουργός Οδοντίατρος Μ.Sc., medlabnews.gr Ο πονόδοντος είναι ένας ενοχλητικός πόνος η ένταση του οποίου ποικίλλει από οξύ και καυστικό ως αμβλύ και παλμικό και μπορεί να ξεκινήσει από ένα δόντι και να εξαπλωθεί σταδιακά εμπλέκοντας και άλλους ιστούς όπως αυτούς των ούλων και άλλων γειτονικών δοντιών. Στις πιο …

Περισσότερα