Home / Tag Archives: ΔΙΑΒΗΤΗΣ

Tag Archives: ΔΙΑΒΗΤΗΣ

Αίμα στο μάτι από σπασμένα αιμοφόρα αγγεία (υπόσφαγμα)

Αίμα στο μάτι από σπασμένα αιμοφόρα αγγεία (υπόσφαγμα)

του Αλέξανδρου Γιατζίδη, M.D., medlabnews.gr Το να δείτε αίμα στο λευκό του ματιού είναι κάτι που προκαλεί τρόμο. H συγκέντρωση μικρής ή μεγαλύτερης ποσότητας αίματος κάτω από τον επιπεφυκότα, που συμβαίνει συνήθως μετά τη ρήξη κάποιου μικρού αγγείου στην περιοχή, λέγεται υπόσφαγμα (hyposphagma) Το υπόσφαγμα δεν γίνεται αντιληπτό μέχρι να κοιταχτούμε στον …

Περισσότερα

Κελυφωτά φιστίκια ή Φυστίκια Αιγίνης, σούπερ τροφή με μεγάλη θρεπτική αξία, κάνοντας καλό σε καρδιά, χοληστερίνη, μάτια, αδυνάτισμα

Κελυφωτά φιστίκια ή Φυστίκια Αιγίνης, σούπερ τροφή με μεγάλη θρεπτική αξία, κάνοντας καλό σε καρδιά, χοληστερίνη, μάτια, αδυνάτισμα

της Κλεοπάτρας Ζουμπουρλή, μοριακής βιολόγου, medlabnews.gr Τα κελυφωτά φιστίκια είναι από τους καλύτερους ποιοτικά και πιο νόστιμους ξηρούς καρπούς. Έχουν χαρακτηριστεί ως ΣΟΥΠΕΡ ΤΡΟΦΗ και όχι άδικα. Ανατρέχοντας στη θρεπτική τους αξία βλέπουμε ότι αποτελούν από τα λίγα τρόφιμα, τα οποία σε μικρή ποσότητα μας δίνουν πληθώρα ευεργετικών συστατικών. Η φιστικιά (pistachio) είναι …

Περισσότερα

Μύρτιλα (Vaccinium myrtillus) και άγρια μύρτιλα (bilberries) super foods για μεταβολικό σύνδρομο, παχυσαρκία, διαβήτη, καρδιά, καρκίνο, μάτια, αντιγήρανση

Μύρτιλα (Vaccinium myrtillus) και άγρια μύρτιλα (bilberries) super foods για μεταβολικό σύνδρομο, παχυσαρκία, διαβήτη, καρδιά, καρκίνο, μάτια, αντιγήρανση

της Κλεοπάτρας Ζουμπουρλή, μοριακή βιολόγος, medlabnews.gr Το μύρτιλο (Βακκίνιον ο Μύρτιλλος – Vaccinium myrtillus) ανήκει στην οικογένεια των Ερεικοειδών η οποία περιλαμβάνει πολλά φυτά χαμηλής ανάπτυξης. Είναι αυτοφυές, και το συναντάμε συνήθως στις εύκρατες και ψυχρές περιοχές του πλανήτη. Το ύψος του θάμνου κυμαίνεται από 60 μέχρι 2,5m  με πυκνό φύλλωμα το οποίο …

Περισσότερα

Η ρύπανση της ατμόσφαιρας συμβάλλει στην αύξηση του διαβήτη

Η ρύπανση της ατμόσφαιρας συμβάλλει στην αύξηση του διαβήτη

 Η ατμοσφαιρική ρύπανση, ακόμη και σε επίπεδα που θεωρούνται ασφαλή, αυξάνει τον κίνδυνο για διαβήτη διεθνώς, σύμφωνα με μια νέα αμερικανική επιστημονική έρευνα. Η μελέτη εκτιμά ότι η μείωση των ρύπων στον αέρα, ιδίως στις χώρες με σοβαρό πρόβλημα όπως η Ινδία, θα οδηγήσει σε μείωση των περιστατικών διαβήτη τύπου …

Περισσότερα

Κοντεύει το χάπι ινσουλίνης για τους διαβητικούς

Κοντεύει το χάπι ινσουλίνης για τους διαβητικούς

Επιστήμονες στις ΗΠΑ ανακοίνωσαν ότι ανέπτυξαν μια νέα μέθοδο που επιτρέπει τη χορήγηση ινσουλίνης από το στόμα, ανοίγοντας έτσι το δρόμο για τη μελλοντική δημιουργία χαπιών ινσουλίνης, τα οποία θα αντικαταστήσουν τις καθημερινές ενέσεις για τον έλεγχο του σακχάρου (γλυκόζης) στους ανθρώπους με διαβήτη τύπου 1. Ένα χάπι ινσουλίνης θα βελτίωνε την ποιότητα ζωής …

Περισσότερα

Πειραματική μέθοδος χρησιμοποιεί τον καφέ για να ρυθμίσει το σάκχαρο

Πειραματική μέθοδος χρησιμοποιεί τον καφέ για να ρυθμίσει το σάκχαρο

Ένας καφές μετά το φαγητό μπορεί στο μέλλον να είναι αρκετός για να ρυθμίσει σωστά το επίπεδο του σακχάρου σε έναν άνθρωπο με διαβήτη. Επιστήμονες στην Ελβετία αναπτύσσουν μια πρωτοποριακή μέθοδο που ίσως καταστήσει κάποτε περιττές τις ενέσεις ινσουλίνης: δημιούργησαν γενετικά τροποποιημένα κύτταρα, τα οποία εισάγονται στον οργανισμό και απελευθερώνουν ινσουλίνη, μόλις ανιχνεύσουν την παρουσία καφεΐνης. …

Περισσότερα

Οι διαβητικοί κινδυνεύουν περισσότερο από Πάρκινσον

Οι διαβητικοί κινδυνεύουν περισσότερο από Πάρκινσον

Οι άνθρωποι που πάσχουν από διαβήτη τύπου 2, αντιμετωπίζουν αυξημένο κίνδυνο εκδήλωσης της νόσου Πάρκινσον αργότερα στη ζωή τους, σύμφωνα με μια νέα μεγάλη βρετανική επιστημονική μελέτη. Ο κίνδυνος φαίνεται μεγαλύτερος για τους νεότερους διαβητικούς και για όσους εμφανίζουν επιπλοκές λόγω του διαβήτη.    Το Πάρκινσον είναι μια νευροεκφυλιστική νόσος που …

Περισσότερα

Κεράσι. Χυμός από κεράσια για αναιμία, δίαιτα, αϋπνία, μυϊκή αποκατάσταση μετά από άσκηση

Κεράσι. Χυμός από κεράσια για αναιμία, δίαιτα, αϋπνία, μυϊκή αποκατάσταση μετά από άσκηση

της Kλεοπάτρας Ζουμπουρλή, μοριακή βιολόγος, medlabnews.gr Η καταπολέμηση της αϋπνίας αποτελεί μία από τις μεγαλύτερες προκλήσεις στην σύγχρονη κοινωνία, καθώς ένας στους τέσσερις ενήλικες πάσχουν από αυτήν και ένας στους πέντε δεν κατορθώνει να μείνει αποκοιμισμένος επί περισσότερες από 5 ώρες κάθε βράδυ.   Έχει βρεθεί ότι ένα ποτήρι χυμό κερασιού το πρωί και ένα …

Περισσότερα

Για ποιο λόγο μπορεί να βλέπετε θολά από το ένα ή και τα δύο μάτια; Ποιες τροφές βοηθούν στην θολή όραση;

Για ποιο λόγο μπορεί να βλέπετε θολά από το ένα ή και τα δύο μάτια; Ποιες τροφές βοηθούν στην θολή όραση;

του Κωνσταντίνου Λούβρου, M.D., medlabnews.gr Αν δεν μπορείτε να δείτε καλά κάποια αντικείμενα, δεν μπορείτε να διακρίνετε ανθρώπους (κυρίως τα πρόσωπά τους), δυσκολεύεστε να διαβάσετε ή νιώθετε ότι τα γράμματα κινούνται γύρω από τον υπολογιστή ή οι σελίδες από ένα βιβλίο καλύτερα να σας δει οφθαλμίατρος Η μακροχρόνια θολή ή παραμορφωμένη …

Περισσότερα

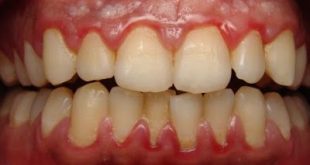
Διαβήτης και περιοδοντίτιδα, ξηροστομία, κακοσμία, μυκητίαση, συγχειλήτιδα, τερηδόνα

Διαβήτης και περιοδοντίτιδα, ξηροστομία, κακοσμία, μυκητίαση, συγχειλήτιδα, τερηδόνα

Συντάκτης Γιώργος Κουτσικάκης Χειρουργός Οδοντίατρος Μ.Sc., medlabnews.gr Ο σακχαρώδης διαβήτης είναι μία νόσος του μεταβολισμού που χαρακτηρίζεται από απουσία έκκρισης ινσουλίνης (διαβήτης τύπου 1 ή νεανικός διαβήτης) ή ανεπαρκή έκκριση ή πλημμελή απορρόφησή της από τα κύτταρα του οργανισμού (διαβήτης τύπου 2). Συνέπεια αυτού είναι η ύπαρξη αυξημένου ποσού γλυκόζης στο …

Περισσότερα

Σέσκουλα ή λαχανίδες, με αντιοξειδωτικές και αντικαρκινικές ουσίες και κατάλληλα ακόμα για τα μάτια, το σάκχαρο, το έντερο

Σέσκουλα ή λαχανίδες, με αντιοξειδωτικές και αντικαρκινικές ουσίες και κατάλληλα ακόμα για τα μάτια, το σάκχαρο, το έντερο

της Αγγελικής Μήλιου, βιολόγου, medlabnews.gr Τα σέσκουλα (Beta Vulgaris var. cicla) συγγενεύουν με το κοκκινογούλι και στην πραγματικότητα είναι γογγύλια. Ανήκουν στην οικογένεια των χηνοποδίων (chenopodiaceae). Είναι λαχανικό με πλούσιο φύλλωμα και ιδιαίτερη γεύση. Με μεγάλα, γυαλιστερά, αρκετά σκληρά και γραμμωτά φύλλα, τα σέσκουλα έχουν μια στυφή γεύση. Υπάρχουν σε διάφορα …

Περισσότερα

Οι διαταραχές του ύπνου συνδέονται με καρδιαγγειακά νοσήματα, παχυσαρκία, διαβήτη, κατάθλιψη. Τρόποι για καλό και ποιοτικό ύπνο

Οι διαταραχές του ύπνου συνδέονται με καρδιαγγειακά νοσήματα, παχυσαρκία, διαβήτη, κατάθλιψη. Τρόποι για καλό και ποιοτικό ύπνο

του Ξενοφώντα Τσούκαλη, M.D, medlabnews.gr Περισσότεροι από δύο εκατομμύρια Έλληνες ταλαιπωρούνται από διαταραχές ύπνου, ενώ, σε πρόσφατη έρευνα που πραγματοποιήθηκε στις χώρες της Ευρωπαϊκής Ένωσης, περίπου ένας στους τρεις ενήλικες ανέφερε ότι αντιμετωπίζει παρόμοια προβλήματα. Το φαινόμενο καταγράφεται πιο συχνά στις γυναίκες, ενώ οι ηλικιωμένοι άνω των 65 χρόνων αναφέρεται ότι …

Περισσότερα

Πέφτετε συχνά; Τι μπορεί να φταίει; Πώς θα προλάβετε την επόμενη πτώση;

Πέφτετε συχνά; Τι μπορεί να φταίει; Πώς θα προλάβετε την επόμενη πτώση;

του Κωνσταντίνου Λούβρου, M.D., medlabnews.gr  Ο καθένας μπορεί να γλιστρήσει, να σκοντάψει και να πέσει, αλλά οι πτώσεις είναι συχνότερες και πιο σημαντικές όταν μεγαλώνουμε στην ηλικία, επειδή τότε είναι πιο πιθανό να τραυματιστούμε. Οι άνθρωποι συχνά θεωρούν τις πτώσεις ως «σημάδι ότι γερνάνε» ή ότι «απλώς δεν πρόσεχαν» αλλά συχνά …

Περισσότερα

Ο Σακχαρώδης Διαβήτης στο κατώφλι του 2018

Ο Σακχαρώδης Διαβήτης στο κατώφλι του 2018

Ο Σύλλογος Ατόμων με Σ.Δ. Πειραιά και Νήσων οργάνωσε και πραγματοποίησε με ιδιαίτερη επιτυχία, την Κυριακή 25 Φεβρουαρίου, Εκπαιδευτικό Σεμινάριο για το Σακχαρώδη Διαβήτη με τίτλο: «Ο Σακχαρώδης Διαβήτης στο κατώφλι του 2018». Πλήθος κόσμου, μέλη και φίλοι του Συλλόγου, καθώς και εκπρόσωποι φορέων και συλλόγων της πόλης, ανταποκρίθηκαν στο …

Περισσότερα

Τι είναι η Γλυκοζυλιωμένη Αιμοσφαιρίνη HbA1c και τι δείχνει η μέτρησή της στον σακχαρώδη διαβήτη;

Τι είναι η Γλυκοζυλιωμένη Αιμοσφαιρίνη HbA1c και τι δείχνει η μέτρησή της στον σακχαρώδη διαβήτη;

της Κλεοπάτρας Ζουμπουρλή, μοριακής βιολόγου, medlabnews.gr Γλυκοζυλιωμένη Αιμοσφαιρίνη (ή HbA1c, όπως συνήθως γράφεται εν συντομία)είναι μια πολύ χρήσιμη εξέταση στο αίμα, η οποία αντικατοπτρίζει τον μέσο όρο του σακχάρου στο αίμα σου κατά τους προηγούμενους 2 – 3 μήνες. Τα αρχικά Hb είναι σύντμηση της αγγλικής λέξης Hemoglobulin που σημαίνει αιμοσφαιρίνη …

Περισσότερα