Συντάκτης Γιώργος Κουτσικάκης Χειρουργός Οδοντίατρος Μ.Sc., medlabnews.gr
Σε γενικές γραμμές είναι απαραίτητη όταν έχει προκληθεί ανεπανόρθωτη ζημιά στον πολφό (νεύρο) του δοντιού. Η βλάβη προέρχεται από τερηδόνα ή τραύμα.
Ο οδοντίατρός σας θα ερευνήσει τα συμπτώματα και σημεία και αφού καταλήξει στη διάγνωση θα σας προτείνει την ενδοδοντική θεραπεία.

Συμπτώματα
- Δυνατός πόνος που επιμένει και μερικές φορές μπορεί να διακόπτει τον ύπνο σας.
- Μερικές φορές δεν εντοπίζεται εύκολα το δόντι καθότι ο πόνος αντανακλά στην ευρύτερη περιοχή, στο αυτί ή στην αντίθετη γνάθο.
- Πόνος στο δάγκωμα που υποδηλώνει φλεγμονή στην άκρη της ρίζας και στο περιβάλλον κόκκαλο.
- Το δόντι δίνει την αίσθηση ότι είναι ΄΄μακρύτερο’’ σαν να υπερανατέλλει. Ένδειξη νεκρού δοντιού.
- Ευαισθησία στο ζεστό σαφή ένδειξη ανεπανόρθωτης βλάβης του δοντιού.
- Η αντίδραση στο κρύο ποικίλει. Μπορεί να προκαλεί δυνατό πόνο που διαρκεί και μετά την αποδρομή του ερεθίσματος. Μπορεί όμως να προκαλεί και ανακούφιση σε κάποιες φάσεις της φλεγμονής.
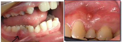
- Οίδημα στην περιοχή ή συρίγγιο μία μικρή οπή σαν σπυράκι στα ούλα από όπου εκρέει πύον με άσχημη γεύση και μυρουδιά. Σαφής ένδειξη φλεγμονής που έχει επεκταθεί στο κόκκαλο.
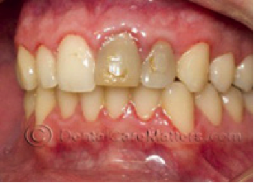
- Δόντι που φαίνεται πιο σκούρο από τα παρακείμενα. Ένδειξη νεκρού δοντιού.
- Κανένα σύμπτωμα.

Εξέταση και κλινικά σημεία
Ο οδοντίατρος θα προβεί σε κάποιες εξετάσεις προκειμένου να αποφασίζει αν το δόντι χρειάζεται ενδοδοντική θεραπεία, σφράγισμα ή εξαγωγή ή θεραπεία των ούλων που το περιβάλλουν.


- Επισκόπηση για να δει την κατάσταση της μύλης του δοντιού δηλαδή την ύπαρξη τερηδόνας ή τί οδοντιατρική εργασία φέρει επάνω του.
- Επισκόπηση και ψηλάφηση των ούλων της περιοχής.
- Ερεθισμός με τον αέρα και το νερό της υδροσύριγγας.
- Ερεθισμός με ζεστό και κρύο.
- Επίκρουση του δοντιού.
- Δοκιμασία με τον ειδικό ηλεκτρικό δοκιμαστή.
- Θα βγάλει μία τοπική ακτινογραφία που αποτελεί την ‘’έκτη του αίσθηση’’.

Αν και τα συμπτώματα που αναφέρει ο ασθενής είναι πολύ σημαντικά, το καθοριστικό για τη διάγνωση, συνεπώς και τη θεραπεία, είναι τα στοιχεία που αποκομίζει ο οδοντίατρος από την εξέταση του. Για παράδειγμα ο προσδιορισμός του υπαίτιου δοντιού δεν είναι εύκολος από τον ασθενή, όταν ο πόνος ακτινοβολεί σε άλλα δόντια και άλλες περιοχές.
Πηγή: medlabgr.blogspot.com
Ιατρικά Νέα Θέματα για την υγεία | Το εγκυρότερο ελληνικό portal με θέματα υγείας, διατροφής, ομορφιάς, φυσικής κατάστασης, ιατρικών θεμάτων
