του Αλέξανδρου Γιατζίδη, Μ.D. , medlabnews.gr
Η Παγκρεατίτιδα είναι οξεία ή χρόνια φλεγμονή του παγκρέατος. Τα οξέα επεισόδια συνήθως χαρακτηρίζονται από ισχυρό κοιλιακό άλγος, που ακτινοβολεί από το πάνω μέρος της κοιλίας ως την πλάτη και μπορεί να προκαλέσουν από μετρίου βαθμού διόγκωση του παγκρέατος ως δυνητικά θανατηφόρα παγκρεατική ανεπάρκεια. Η χρόνια παγκρεατίτιδα είναι μία προοδευτική κατάσταση, που περιλαμβάνει μία σειρά οξέων επεισοδίων. Αυτά τα επεισόδια μπορεί να προκαλέσουν διακοπτόμενο ή διαρκή πόνο και μπορεί να προκαλέσουν μόνιμη βλάβη των ιστών του παγκρέατος.
Η οξεία παγκρεατίτιδα είναι μια κατάσταση αυτοπεψίας του αδένα και ενδεχομένως, των παρακείμενων οργάνων. Μπορεί να περιπλέκεται με νέκρωση, μόλυνση και ανεπάρκεια άλλων οργάνων. Το ποσοστό θνησιμότητας είναι 5 έως 10%.

Σε φυσιολογικές συνθήκες τα πεπτικά ένζυμα είναι αδρανή και ενεργοποιούνται μόνο για την πέψη των τροφών όταν φθάσουν στο λεπτό έντερο. Σε περίπτωση όμως που το πάγκρεας φλεγμαίνει, ενεργοποιούνται ενώ βρίσκονται ακόμη μέσα σε αυτό και του «επιτίθενται», καταστρέφοντας το. Η κατάσταση αυτή μπορεί να είναι οξεία ή χρόνια.
Και οι δύο μορφές παγκρεατίτιδας μπορεί να έχουν σοβαρές επιπλοκές και να εξελιχθούν σε καταστάσεις απειλητικές για τη ζωή.
Η παγκρεατίτιδα μπορεί να εμφανισθεί σε άτομα οποιασδήποτε ηλικίας, αν και είναι εξαιρετικά σπάνια στα παιδιά, η δε χρόνια μορφή της είναι πιο συχνή στους άνδρες πιθανόν λόγω της μεγαλύτερης, συγκριτικά με τις γυναίκες, κατανάλωσης αλκοόλ από αυτούς.
Ποιες είναι οι κύριες αιτίες της οξείας παγκρεατίτιδας;
Είναι οι χολόλιθοι , που μεταναστεύουν μέσω του χοληδόχου πόρου και το αλκοόλ που μπορεί να κάνει έναρξη η έξαρση χρόνιας παγκρεατίτιδας. Δημιουργείται επίσης μετά επέμβαση στην κοιλιά η στον θώρακα (μετεγχειρητική οξεία παγκρεατίτιδα). Η οξεία παγκρεατίτιδα π μπορεί να είναι σοβαρή και να περιπλέκει περίπου το 5% της ERCP. Οξεία παγκρεατίτιδα μπορεί να είναι αποτέλεσμα ενός όγκου που βρίσκονται στο πάγκρεας. Εμφανίζεται περίπου στο 10% των περιπτώσεων του αδενοκαρκινώματος του παγκρέατος και μπορεί να έτσι να το αποκαλύψει.
Το πώς το αλκοόλ πυροδοτεί τη φλεγμονή του παγκρέατος είναι ουσιαστικά άγνωστο. Η οξεία αλκοολική παγκρεατίτιδα εμφανίζεται συνήθως μετά από κατανάλωση μεγάλης ποσότητας αλκοόλ, αν και δεν αποκλείεται η εμφάνισή της και μετά από κατανάλωση μικρότερης ποσότητας σε πιο «ευαίσθητα» στο αλκοόλ άτομα.
Το υπόλοιπο 20% των περιπτώσεων οξείας παγκρεατίτιδας μπορεί να σχετίζεται με:
- η υπερλιπιδαιμία,
- ο υπερπαραθυρεοειδισμός,
- οι ιογενείς λοιμώξεις (παρωτίτιδα) και
- παράσιτα (ασκαρίδες),
- Τραυματισμό του παγκρέατος (π.χ. μετά από τροχαίο ατύχημα)
- Χειρουργικές επεμβάσεις ή ιατρικούς χειρισμούς (π.χ. ΕRCP),
- Ανατομικές ανωμαλίες του παγκρέατος ή του εντέρου,
- φάρμακα (θειαζιδικά διουρητικά, αζαθειοπρίνη, οιστρογόνα).
Αίτια μπορεί να επίσης να είναι οι συγγενείς ανωμαλίες των πόρων των χοληφόρων-παγκρέατος, το διαιρεμένο παγκρέατος, η κύστη του χοληδόχου πόρου και η κυστική ίνωση.
Χειρουργικές επεμβάσεις ή ιατρικούς χειρισμούς (π.χ. ΕRCP),
Ανατομικές ανωμαλίες του παγκρέατος ή του εντέρου,

Όλες αυτές οι άλλες αιτίες αντιπροσωπεύουν συνολικά λιγότερο από το 10% των περιπτώσεων οξείας παγκρεατίτιδας. Τέλος, υπάρχουν περίπου 10% πριπτώσεων οξείας παγκρεατίτιδας που θεωρούνται ιδιοπαθής (αγνώστου αιτιολογίας).
Ξεχωρίζουμε την οιδηματώδη οξεία παγκρεατίτιδα (το οίδημα επηρεάζει μόνο το πάγκρεας), με συνήθως ήπια εξέλιξη και την αιμορραγική-νεκρωτική οξεία παγκρεατίτιδα πιο σπάνια, αλλά μπορεί να είναι και θανατηφόρος. Η δεύτερη χαρακτηρίζεται από νέκρωση του συνόλου ή μέρους του παγκρέατος και από εξιδρώματα εκτός από την φλεγμονή του παγκρέατος. Ο κίνδυνος που υπάρχει είναι η μόλυνση της νέκρωσης που είναι η κύρια αιτία θνησιμότητας.
Ποια είναι τα συμπτώματα της οξείας παγκρεατίτιδας;
Η οξεία παγκρεατίτιδα εμφανίζεται ξαφνικά με ήπιο έως έντονο πόνο στο άνω μέρος της κοιλιάς ”σαν ζωνάρι” που μπορεί να αντανακλά στην πλάτη και το στήθος. Ο πόνος μπορεί να είναι σταθερός για ώρες ή και μέρες και είναι πιθανόν να χειροτερεύει με το φαγητό ή το αλκοόλ. Η κάμψη του σώματος προς τα εμπρός ή η εμβρυϊκή θέση μπορεί να παρέχει προσωρινή ανακούφιση. Το κοιλιακό άλγος που από την αρχή είναι ταχέως εξελισσόμενο, , ο έμετος,
Μπορεί να υπάρχει μετεωρισμένη και τυμπανισμένη κοιλιά , μια αντίσταση στην ψηλάφηση γύρω και κάτω από τον ομφαλό αλλά συχνά τα σημεία της φυσικής εξέτασης είναι ελάχιστα η και καθόλου, σε αντίθεση με τη σοβαρότητα της συνολικής εικόνας.
Άλλα σημεία και συμπτώματα της οξείας παγκρεατίτιδας περιλαμβάνουν:
- Ναυτία και εμετός
- Πυρετός
- Ταχυπαλμία
- Πρήξιμο στην κοιλιά
- Παραλυτικός ειλεός,
- Το υποογκαιμικό σοκ,
- Σε σοβαρές περιπτώσεις αφυδάτωση και χαμηλή αρτηριακή πίεση, εσωτερική αιμορραγία, και σοκ
- Ολιγο-ανουρία,
- Διάφορες νευρο-ψυχολογικές διαταραχές και τέλος
- Η αναπνευστική δυσχέρεια.
Συνεχίζόμενη βλάβη στο πάγκρεας μπορεί να οδηγήσει σε μια χρόνια κατάσταση που που οδηγεί σε χρόνια παγκρεατίτιδα.
Πέρα από τον πόνο στη χρόνια παγκρεατίτιδα μπορεί να συνυπάρχουν τα εξής:
•Απώλεια βάρους, ακόμα και όταν η όρεξή σας και οι διατροφικές συνήθειες είναι κανονικές
•Ελαιώδη, δύσοσμα κόπρανα που προκύπτουν από την κακή πέψη και δυσαπορρόφηση θρεπτικών συστατικών, κυρίως λίπη
•Διαβήτης
Ποιες είναι οι πιο συχνές επιπλοκές της οξείας παγκρεατίτιδας;
Είναι οι περιοχές με λοίμωξη της νέκρωσης, πολυοργανική ανεπάρκεια (πνεύμονες [σύνδρομο οξείας αναπνευστικής δυσχέρειας], νεφρά [νεφρική ανεπάρκεια], ήπαρ [ηπατική ανεπάρκεια], κεντρικό νευρικό σύστημα), ψευδοκύστεις, αιμορραγία, παγκρέατος συρίγγιο σε ένα κοίλο όργανο, ή προς τα εξω στο δέρμα μετά χειρουργική παροχέτευση , η απόμακρυσμένη νέκρωση και ο υποσιτισμός. Μία ή περισσότερες χειρουργικές, ακτινολογικές (διαδερμική παροχέτευση, εμβολισμός σε περίπτωση αιμορραγίας ή ενδοσκοπικές μέθοδοι είναι μερικές φορές απαραίτητες. Η διάρκεια της παραμονής στο νοσοκομείου (ή σε ΜΕΘ) μπορεί να είναι από λίγες μέρες μέχρι αρκετούς μήνες.
Πως γίνεται η διάγνωση της οξείας παγκρεατίτιδας;
Εφόσον από το ιστορικό (συμπτώματα, παράγοντες κινδύνου) και την κλινική εικόνα του ασθενή τεθεί η υποψία της οξείας παγκρεατίτιδας ο ιατρός του θα προχωρήσει σε περαιτέρω έλεγχο προκειμένου να τεθεί η διάγνωση. Αυτός συνίσταται σε:
• Εξετάσεις αίματος ή και ούρων για μέτρηση ειδικών παγκρεατικών ενζύμων, όπως η αμυλάση και η λιπάση, ηπατικών ενζύμων και χολερυθρίνης, λευκών αιμοσφαιρίων και CRP που θα βρεθούν όλα αυξημένα.
Η αυξημένη αμυλάση αίματος (με αυξημένη αμυλάση ούρων) και η σύγχρονη υπερλιπιδαιμία είναι οι πρώτες ενδείξεις. Η αυξημένη αμυλάση του αίματος επιμένει περισσότερο από την αμυλάση του ορού. Η Αμυλάση, το παγκρεατικό ένζυμο για την πέψη υδατανθράκων, είναι η πιο κοινή εξέταση για την οξεία παγκρεατίτιδα. Αυξάνει από 2 ως 12 ώρες μετά την έναρξη των συμπτωμάτων και φθάνει στη μέγιστη τιμή σε 12 ως 72 ώρες. Μπορεί να αυξηθεί σε επίπεδα 5 ως 10 φορές ψηλότερα από τα φυσιολογικά και συνήθως επιστρέφει σε κανονικά επίπεδα σε μία εβδομάδα.
Η Λιπάση, (το ένζυμο που, μαζί με τη χολή από το ήπαρ χρησιμοποιείται για την πέψη των λιπών) αυξάνει στο αίμα σε 4 ως 8 ώρες μετά την έναρξη ενός οξέος επεισοδίου και φθάνει στη μέγιστη τιμή σε 24 ώρες. Μπορεί να αυξηθεί σε επίπεδα πολλές φορές ψηλότερα από τα φυσιολογικά και παραμένει αυξημένη για περισσότερο καιρό από την αμυλάση. Καθώς τα κύτταρα καταστρέφονται στην χρόνια παγκρεατίτιδα και μειώνεται η παραγωγή λιπάσης σε λιγότερο από 10% του κανονικού, εμφανίζεται στεατόρροια (λιπαρά, δύσοσμα κόπρανα).
Η Τρυψίνη (που χρησιμοποιείται για την πέψη των πρωτεϊνών) πιστεύεται ότι είναι η πιο ευαίσθητη εξέταση για την οξεία παγκρεατίτιδα, αλλά δεν είναι διαθέσιμη σε όλα τα εργαστήρια και δεν εκτελείται σαν εξέταση ρουτίνας. Εξετάσεις τρυψίνης κοπράνων χρησιμοποιούνται για τον έλεγχο για παγκρεατική ανεπάρκεια και μπορεί να αποτελούν μέρος του εργαστηριακού ελέγχου για χρόνια παγκρεατίτιδα. Το Τρυψινογόνο (Ανοσολογικά ενεργή τρυψίνη) είναι εξέταση που μπορεί να χρησιμοποιηθεί για τον έλεγχο για παγκρεατική ανεπάρκεια σε ασθενείς με χρόνια παγκρεατίτιδα. Άλλες εξετάσεις που μπορεί να χρησιμοποιηθούν για τον έλεγχο για επιπλοκές οξείας παγκρεατίτιδας περιλαμβάνουν:
- Γενική αίματος (με τύπο λευκών αιμοσφαιρίων)
- Μεταβολικό προφίλ (Χολερυθρίνη, εξετάσεις ηπατικής λειτουργίας)
- Σάκχαρο
- Ασβέστιο
- Μαγνήσιο
- C-Αντιδρώσα Πρωτεΐνη (ένδειξη φλεγμονής)
Άλλες εξετάσεις για τον έλεγχο για χρόνια παγκρεατίτιδα περιλαμβάνουν:
- Λίπος κοπράνων
- Τρυψίνη
- Τρυψινογόνο(Ανοσολογικά ενεργή τρυψίνη)

• Απεικονιστικές εξετάσεις όπως η απλή ακτινογραφία θώρακος και κοιλίας, το υπερηχογράφημα, η αξονική ή η μαγνητική τομογραφία κοιλίας αλλά και η ΕRCP (ενδοσκοπική ανάστροφη χολαγγειοπαγκρεατογραφία) ή η MRCP (μαγνητική χολαγγειοπαγκρεατογραφία), εάν κριθεί απαραίτητο.
Το υπερηχογράφημα μπορεί να δείξει υπερπλασία του αδένα, υποηχοική περιοχή σε περίπτωση οιδήματος, και έχει επίσης διαγνωστική σημασία , μπορεί να βοηθήσει στην απεικόνιση των λίθων της χοληδόχου κύστης ή εάν υπάρχει διάταση του χοληδόχου πόρου μέσα και έξω από το ήπαρ . Επιτρέπει αργότερα την ανίχνευση των ψευδοκύστεων. Δεν απεικονίζει όμως το πάγκρεας, στο σύνολό του περίπου στο ένα τρίτο των περιπτώσεων.
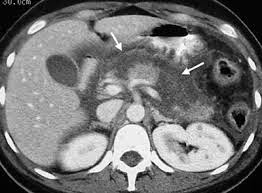
Η αξονική τομογραφία δίνει μια καλή αξιολόγηση των παγκρεατικών αλλοιώσεων και την ύπαρξη περιπαγκρεατικής νέκρωσης και εξιδρωμάτων. Ο όγκος των εξιδρωμάτων και η έκταση της νέκρωσης του αδένα έχουν προγνωστική αξία.
Κατά την ERCP ένα ενδοσκόπιο, περνάει από το στόμα στον οισοφάγο, στο στομάχι και στο δωδεκαδάκτυλο και εν συνεχεία μέσω αυτού εγχύεται μία σκιαγραφική ουσία που βοηθά τον ιατρό να δει εάν υπάρχουν λίθοι ή άλλη βλάβη στην περιοχή. Σε ορισμένες περιπτώσεις οι λίθοι αυτοί μπορούν να αφαιρεθούν κατά τη διάρκεια της ERCP.
Και οι δύο εξετάσεις επιτρέπουν, εάν είναι αναγκαίο, την διαδερμική κατευθυνόμενη παρακέντηση του παγκρέατος και των περιπαγκρεατικών συλλογών σε περίπτωση που υπάρχει υποψία για μόλυνση τους.
Κατά τη διάρκεια εξέλιξης, η ύπαρξη παγκρεατικής νέκρωσης εντός και εκτός του παγκρέατος και μόλυνση τους, η ανεπάρκεια άλλων οργάνων (πνεύμονες, ήπαρ, καρδιαγγειακά, κλπ) είναι σημάδια της βαρύτητας . Ο κίνδυνος των επιπλοκών αυτών αξιολογούνται από διάφορες μετρήσεις,από τις οποίες αυτές που χρησιμοποιούνται περισσότερο είναι: το σκορ Ranson, το Glasgow Coma Score και το SOFA . Τα επίπεδα της CRP και η αξονική τομογραφία έχουν επίσης μια ισχυρή προγνωστική αξία.
Ποια είναι η θεραπεία της οξείας παγκρεατίτιδας;
Ο κύριος στόχος της θεραπείας είναι πάντα η ανακούφιση των συμπτωμάτων και η προστασία του παγκρέατος από μεγαλύτερη βλάβη.
Οι ήπιες φλεγμονές είναι συνήθως αυτοπεριοριζόμενες και απαιτείται μόνο παρακολούθηση, χορήγηση αναλγητικών και υγρών ενδοφλέβια για λίγες ημέρες, καθώς είναι καλύτερο ο ασθενής να παραμείνει νηστικός προκειμένου να περιορισθεί η δραστηριότητα του παγκρέατος.
Η ιατρική θεραπεία της οξείας παγκρεατίτιδας βασίζεται σε μέτρα συμπτωματικής αναζωογόνησης με γαστρική αναρρόφηση (σε περίπτωση επανειλημμένων έμετων), με χορήγηση υγρών και ηλεκτρολυτών και ενεργειακή αποκατάσταση θεραπεία του πόνου και του σοκ, οξυγόνο και αναπνευστική υποστήριξη σε αναπνευστική δυσχέρεια, αντιβιοτικά με βάση το αντιβιόγραμμα και την ευαισθησία μετά από παρακέντηση σε περίπτωση νέκρωσης τοπικής ή συστηματικής.
Σε περιπτώσεις υποψίας σοβαρής οξείας παγκρεατίτιδας που συνοδεύεται με χολαγγειίτιδα, η ενδοσκοπική σφιγκτηροτομή πρέπει να εκτελείται μέσα στις πρώτες 48 ώρες.
Οι ενδείξεις για χειρουργική επέμβαση είναι να καθαριστεί και να παροχετευθεί τυχόν μολυνση και νέκρωση.
Πότε πρέπει να γίνεται χειρουργική και ενδοσκοπική θεραπεία της οξείας παγκρεατίτιδας;
Στην οξεία φάση, κάθε μολυσμένη συλλογή, πρέπει να καθαρίζεται, συνήθως με χειρουργική επέμβαση (σπάνια ακτινολογικά). Μια χειρουργική επέμβαση έκτακτης ανάγκης ή ένας εμβολισμός υπό ακτινολογική καθοδήγηση μπορεί να είναι αναγκαία σε περιπτώσεις αιμορραγίας από το γαστρεντερικό πιο συχνά λόγω διάβρωσης μιας αρτηρίας.
Αργότερα, μπορεί να χρειαστεί θεραπεία μιας ψευδοκύστης ή εκτομή νεκρωτικών υλικών
Η αποφάσεις που αφορούν την αντιμετώπιση των χολολίθων θα πρέπει να είναι συντονισμένες. Σε καλοήθη οξεία παγκρεατίτιδα, που οφείλεται σε χολολιθίαση μια χολοκυστεκτομή με ταυτόχρονη διερεύνηση του κοινού χοληδόχου πόρου πρέπει να γίνει κατά τη διάρκεια της ίδιας νοσηλείας.
Πώς μπορεί να προληφθεί η παγκρεατίτιδα;
Αν και η παγκρεατίτιδα δεν μπορεί πάντα να προληφθεί, η αποφυγή κατανάλωσης αλκοόλ, μεγάλων γευμάτων πλούσιων σε λίπος και φτωχών σε υδατάνθρακες και, ή ο περιορισμός της χρήσης φαρμάκων που σχετίζονται με την εμφάνισή παγκρεατίτιδας αποτελούν προληπτικά μέτρα που μπορούν να λάβουν όλοι.
Οι ασθενείς με χρόνια παγκρεατίτιδα έχουν μεγαλύτερο κίνδυνο για ανάπτυξη παγκρεατικού καρκίνου. Καθώς ο ιατρός παρακολουθεί την χρόνια παγκρεατίτιδα, συγχρόνως ελέγχει για την ύπαρξη καρκίνου.
Πηγή: medlabgr.blogspot.com
Ιατρικά Νέα Θέματα για την υγεία | Το εγκυρότερο ελληνικό portal με θέματα υγείας, διατροφής, ομορφιάς, φυσικής κατάστασης, ιατρικών θεμάτων
