Home / Υγεία / Δόντιαpage 3

Δόντια

Αυτά είναι τα λάθη που κάνουν οι περισσότεροι όταν βουρτσίζουν τα δόντια τους

Αυτά είναι τα λάθη που κάνουν οι περισσότεροι όταν βουρτσίζουν τα δόντια τους

Το σωστό βούρτσισμα των δοντιών είναι η βασική προϋπόθεση για τη σωστή στοματική υγιεινή και την αποφυγή μελλοντικών προβλημάτων. Πολλοί όμως νομίζουν ότι ο τρόπος με τον οποίο βουρτσίζουν τα δόντια τους είναι ο σωστός αλλά στην πραγματικότητα οι περισσότεροι κάνουν κάποια συγκεκριμένα λάθη. Δείτε μερικά από αυτά… 1. Αλλαγή …

Περισσότερα

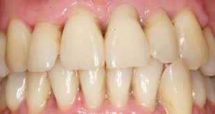
Η περιοδοντίτιδα συνδέεται με αυξημένο κίνδυνο εγκεφαλικού

Η περιοδοντίτιδα συνδέεται με αυξημένο κίνδυνο εγκεφαλικού

Η σοβαρή περιοδοντίτιδα μπορεί να αποτελεί πρόωρη ένδειξη για διαβήτη τύπου 2, σύμφωνα με ολλανδική επιστημονική έρευνα, ενώ αμερικανική μελέτη δείχνει ότι οι άνθρωποι με την ίδια ασθένεια των ούλων κινδυνεύουν περισσότερο από ισχαιμικού τύπου εγκεφαλικό επεισόδιο. Οι ερευνητές, με επικεφαλής τον δρα Βίναντι Τίουβ του Ακαδημαϊκού Κέντρου Οδοντιατρικής του …

Περισσότερα

Η περιοδοντίτιδα μπορεί να προκαλέσει εγκεφαλικό και διαβήτη

Η περιοδοντίτιδα μπορεί να προκαλέσει εγκεφαλικό και διαβήτη

Η περιοδοντίτιδα, η μόλυνση των ούλων που καταστρέφει τον μαλακό ιστό και τα οστά που στηρίζουν τα δόντια, αποτελεί πρόωρη ένδειξη για διαβήτη τύπου 2 ενώ αυξάνει τον κίνδυνο και για εγκεφαλικό. Οι ερευνητές, με επικεφαλής τον δρα Βίναντι Τίουβ του Ακαδημαϊκού Κέντρου Οδοντιατρικής του Πανεπιστημίου του ‘Αμστερνταμ, που έκαναν …

Περισσότερα

Το φρούτο που λειτουργεί σαν λευκαντικό δοντιών

Το φρούτο που λειτουργεί σαν λευκαντικό δοντιών

Ένα λευκό και αστραφτερό χαμόγελο δεν είναι πάντα εύκολη υπόθεση και σίγουρα είναι απαραίτος ο καθημερινός καθαρισμός των δοντιών. Ωστόσο, υπάρχουν κι άλλοι τρόποι, κρυμμένοι στη φύση, που μπορούν να βοηθήσουν ώστε να αποκτήσουμε ένα πιο λευκό χαμόγελο. Για παράδειγμα, υπάρχει ένα φρούτο που περιέχει τα συστατικά εκείνα που είναι …

Περισσότερα

Τρεις τροφές που εξουδετερώνουν την άσχημη μυρωδιά στο στόμα

Τρεις τροφές που εξουδετερώνουν την άσχημη μυρωδιά στο στόμα

Ένα από τα πιο ενοχλητικά καθημερινά προβλήματα είναι η κακοσμία του στόματος. Υπάρχουν κάποιες τροφές με πολύ έντονη οσμή που την προκαλούν και πολλές φορές είναι δύσκολο να απαλλαγείς.Ωστόσο από την άλλη πλευρά, υπάρχουν τροφές που νικούν αυτή την κακοσμία και βοηθούν στο να έχουμε μια ευχάριστη αναπνοή. Δείτε τρεις …

Περισσότερα

Πρόσθετη χημική ουσία σε οδοντόπαστες και τρόφιμα, μπορεί να αυξάνει τον κίνδυνο καρκίνου

Πρόσθετη χημική ουσία σε οδοντόπαστες και τρόφιμα, μπορεί να αυξάνει τον κίνδυνο καρκίνου

Μια πρόσθετη ουσία, το διοξείδιο του τιτανίου, γνωστό και ως Ε171, που χρησιμοποιείται ευρέως σε οδοντόπαστες, τρόφιμα και άλλα προϊόντα, μπορεί να είναι καρκινογόνο, σύμφωνα με μια νέα γαλλική επιστημονική έρευνα. Πειράματα σε ζώα (αρουραίους) έδειξαν ότι η ουσία προκάλεσε προκαρκινικές αλλοιώσεις του παχέος εντέρου σε 40% των πειραματόζωων που …

Περισσότερα

21 καλές συνήθειες και συμβουλές για καταπληκτικά δόντια

21 καλές συνήθειες και συμβουλές για καταπληκτικά δόντια

Συντάκτης Γιώργος Κουτσικάκης Χειρουργός Οδοντίατρος Μ.Sc., medlabnews.gr Δεν ανακαλύψαμε την Αμερική. Τα περισσότερα τα γνωρίζετε. Δεν βλάπτει όμως μία υπενθύμιση. Βουρτσίστε τα  δόντια σας τουλάχιστον πρωί και βράδυ με φθοριούχο οδοντόκρεμα.  Χρησιμοποιήστε μαλακιά ή μέτρια οδοντόβουρτσα με μικρό κεφάλι. Εκείνο που πρέπει να επισημανθεί όμως είναι ο σωστός τρόπος βουρτσίσματος …

Περισσότερα

Το Πρόγραμμα οδοντιατρικής κάλυψης & το Πρόγραμμα παιδικών εμβολιασμών των Γιατρών του Κόσμου συνεχίζεται σε όλη την Ελλάδα

Το Πρόγραμμα οδοντιατρικής κάλυψης & το Πρόγραμμα παιδικών εμβολιασμών των Γιατρών του Κόσμου συνεχίζεται σε όλη την Ελλάδα

Το Πρόγραμμα οδοντιατρικής κάλυψης & το Πρόγραμμα παιδικών εμβολιασμών των Γιατρών του Κόσμου συνεχίζεται σε όλη την Ελλάδα με την υποστήριξη της Ελληνικής Πρωτοβουλίας H Κινητή Ιατρική Μονάδα των προγραμμάτων επισκέπτεται την Καβάλα και τη Δράμα Το πρόγραμμα οδοντιατρικής κάλυψης παιδιών και ενηλίκων, Smile Project, και το πρόγραμμα παιδικών εμβολιασμών, …

Περισσότερα

Τα αντιβιοτικά στην οδοντιατρική: πότε και γιατί

Τα αντιβιοτικά στην οδοντιατρική: πότε και γιατί

Συντάκτης Γιώργος Κουτσικάκης Χειρουργός Οδοντίατρος Μ.Sc., medlabnews.gr Τα αντιβιοτικά είναι πολύτιμα φάρμακα όταν χρησιμοποιούνται όταν πρέπει και για όσο διάστημα χρειάζεται. Η δράση τους είναι να σκοτώνουν τα βακτηρίδια. Δεν έχουν καμία δράση στους ιούς. Η χορήγηση των αντιβιοτικών ( η αντιβίωση)  αποσκοπεί είτε στη θεραπεία κάποιας λοίμωξης είτε προληπτικά εκεί …

Περισσότερα

Πως θα τα αποκτήσετε και εσείς το τέλειο χαμόγελο!

Πως θα τα αποκτήσετε και εσείς το τέλειο χαμόγελο!

Τα δόντια είναι ένα από τα πρώτα πράγματα που προσέχει κανείς πάνω μας. Αν δεν είστε ικανοποιημένοι από το χαμόγελό σας, δείτε τι μπορείτε να κάνετε για να το βελτιώσετε. Το πρώτο βήμα είναι η σωστή περιποίηση. Συνίσταται σε τακτικό καθαρισμό στο οδοντιατρείο που  αφαιρούνται εκτός από την πέτρα  και …

Περισσότερα

Ξηρό φατνίο. Μία δυσάρεστη αλλά σπάνια μετεγχειρητική οδοντιατρική επιπλοκή

Ξηρό φατνίο. Μία δυσάρεστη αλλά σπάνια μετεγχειρητική οδοντιατρική επιπλοκή

του Γιώργου Κουτσικάκη, Χειρουργός Οδοντίατρος Μ.Sc., medlabnews.gr Μετά την αφαίρεση ενός δοντιού ο χώρος που καταλείπεται (φατνίο) πλημυρίζει με αίμα. Σε λίγα λεπτά η ροή του αίματος σταματά, το αίμα πήζει και σχηματίζει θρόμβο (πήγμα). Ο θρόμβος εξελίσσεται, το τραύμα κλείνει και νέο οστό γεμίζει το φατνίο. Σε μερικές περιπτώσεις …

Περισσότερα

Τέσσερα ανησυχητικά συμπτώματα στο στόμα και τι σημαίνουν

Τέσσερα ανησυχητικά συμπτώματα στο στόμα και τι σημαίνουν

Προβλήματα στα ούλα, τα δόντια ή τη γλώσσα μπορεί να αποτελούν ενδείξεις για προβλήματα υγείας που έχουν διαφύγει της προσοχής μας. Εάν ταλαιπωρείστε ξαφνικά από έντονες ενοχλήσεις, καλό είναι να συμβουλευτείτε τον οδοντίατρό σας για μια αναλυτική εξέταση και αξιολόγηση. Παρακάτω θα δείτε τέσσερα συχνά συμπτώματα που εμφανίζονται στη στοματική …

Περισσότερα

Επτά “αθώες” καλοκαιρινές συνήθειες που βλάπτουν τα δόντια μας

Επτά "αθώες" καλοκαιρινές συνήθειες που βλάπτουν τα δόντια μας

Τα δροσερά ροφήματα και τα εύκολα γεύματα είναι μεγάλο δέλεαρ για να αντιμετωπίσουμε τη ζέστη του καλοκαιριού αλλά οι επιλογές που κάνουμε συχνά δεν είναι οι καλύτερες. * Σβήνουμε τη δίψα με αναψυκτικά. Αν και ένα ποτήρι κρύο αναψυκτικό με παγάκια ή ένα “υγιεινό” ισοτονικό ρόφημα μοιάζουν με το ιδανικό αντίδοτο …

Περισσότερα

Πρέπει να κάνετε κάθε βράδυ οδοντικό νήμα;

Πρέπει να κάνετε κάθε βράδυ οδοντικό νήμα;

Ο καθημερινός καθαρισμός των δοντιών με το οδοντικό νήμα περιλαμβάνεται απαραιτήτως στις συμβουλές των οδοντιάτρων, όμως αυξάνονται οι ενδείξεις ότι πιθανώς ο ρόλος του έχει υπερεκτιμηθεί. Σε δημοσίευμα των “Τάιμς της Νέας Υόρκης” με τον χαρακτηριστικό τίτλο “Νιώθετε ενοχές που δεν κάνετε οδοντικό νήμα; Ίσως δεν θα έπρεπε” αναφέρεται ότι στην πραγματικότητα δεν …

Περισσότερα

Το φρούτο που καταπολεμά την ουλίτιδα

Το φρούτο που καταπολεμά την ουλίτιδα

Η ουλίτιδα προκαλείται από την ανάπτυξη βακτηρίων στην πλάκα των δοντιών, τα οποία προκαλούν φλεγμονή των ούλων. Σταδιακά τα ούλα κοκκινίζουν και πρήζονται με αποτέλεσμα να ματώνουν εύκολα κατά το βούρτσισμα. Αν η ουλίτιδα παραμεληθεί και δεν γίνει θεραπεία, μπορεί να εξελιχθεί σε περιοδοντίτιδα. Στην περίπτωση αυτή, το εσωτερικό των …

Περισσότερα