Home / Tag Archives: Αιματολογία

Tag Archives: Αιματολογία

H ρουξολιτινίμπη της Νovartis μειώνει τον κίνδυνο θανάτου και εμφάνισης θρόμβων σε ασθενείς με σπάνιο αιματολογικό καρκίνο

H ρουξολιτινίμπη της Νovartis μειώνει τον κίνδυνο θανάτου και εμφάνισης θρόμβων σε ασθενείς με σπάνιο αιματολογικό καρκίνο

Η μυελοΐνωση (MF) και η αληθής πολυκυτταραιμία (PV) ανήκουν σε μια ομάδα σχετιζόμενων μεταξύ τους, σπάνιων αιματολογικών κακοηθειών που ονομάζονται μυελοϋπερπλαστικά νεοπλάσματα, στις οποίες τα κύτταρα του μυελού των οστών που είναι υπεύθυνα για την παραγωγή κυττάρων αίματος του οργανισμού αναπτύσσονται και λειτουργούν με μη φυσιολογικό τρόπο. Σε ασθενείς με …

Περισσότερα

ΕΛΛΟΚ – ΕΠΙΣΤΗΜΟΝΙΚΗ ΗΜΕΡΙΔΑ Γνωρίζουμε τον Αιματολογικό Καρκίνο

ΕΛΛΟΚ - ΕΠΙΣΤΗΜΟΝΙΚΗ ΗΜΕΡΙΔΑ Γνωρίζουμε τον Αιματολογικό Καρκίνο

• Διεθνούς Κύρους Επιστήμονες δίπλα στους ασθενείς με αιματολογικό καρκίνο • Η ΕΛΛΟΚ τιμά τον Δρ Αχιλλέα Αναγνωστόπουλο για την προσφορά του • Θεσσαλονίκη: Εντυπωσιακή Επιστημονική Πρωτοπορία και Δυναμική στον τομέα των μεταμοσχεύσεων • Δώσε Ελπίδα – Δώσε Ζωή : Νέα Συνεργασία ΕΛΛΟΚ & ΟΡΑΜΑ ΕΛΠΙΔΑΣ • Νέες θεραπείες & …

Περισσότερα

Παγκόσμια Ημέρα Δρεπανοκυτταρικής Νόσου, 19 Ιουνίου

Παγκόσμια Ημέρα Δρεπανοκυτταρικής Νόσου, 19 Ιουνίου

της Κλεοπάτρας Ζουμπουρλή, μοριακής βιολόγου, medlabnews.gr Στις 22 Δεκεμβρίου 2008, η Γενική Συνέλευση των Ηνωμένων Εθνών αναγνώρισε για πρώτη φορά τη Δρεπανοκυτταρική αναιμία ως ένα σοβαρό πρόβλημα δημόσιας υγείας. Ανάμεσα στα αντικείμενα αυτής της απόφασης, A/63/L63, ήταν και ο καθορισμός της 19ης Ιουνίου, εκάστου έτους, ως «Παγκόσμια Ημέρα Δρεπανοκυτταρικής Νόσου». Μία παγκόσμια …

Περισσότερα

Η ομάδα αίματος Ο υπερδιπλασιάζει τον κίνδυνο θανάτου από αιμορραγία μετά από σοβαρό τραυματισμό

Η ομάδα αίματος Ο υπερδιπλασιάζει τον κίνδυνο θανάτου από αιμορραγία μετά από σοβαρό τραυματισμό

Οι άνθρωποι με ομάδα αίματος Ο έχουν υπερδιπλάσιο κίνδυνο να πεθάνουν από αιμορραγία μετά από ένα σοβαρό τραυματισμό, σε σχέση με όσους έχουν άλλη ομάδα αίματος, σύμφωνα με μια νέα ιαπωνική επιστημονική έρευνα. Το ποσοστό θανάτου σε βαριά τραυματισμένους ασθενείς με ομάδα Ο είναι 28% σε σχέση με 11% κατά …

Περισσότερα

Oξεία μυελογενής λευχαιμία, Παγκόσμια ημέρα Ευαισθητοποίησης

Oξεία μυελογενής λευχαιμία, Παγκόσμια ημέρα Ευαισθητοποίησης

της Κλεοπάτρας Ζουμπουρλή, μοριακής βιολόγου, medlabnews.gr H 21η Απριλίου θεσπίστηκε για πρώτη φορά φέτος ως Παγκόσμια ημέρα Ευαισθητοποίησης για την οξεία μυελογενή λευχαιμία (ΟΜΛ). Η οξεία μυελογενής λευχαιμία  είναι ένας επιθετικός καρκίνος του αίματος που εμφανίζεται στα κύτταρα του μυελού των οστών, πλήττει ανθρώπους όλων των ηλικιών και συχνά απαιτεί μήνες εντατικής …

Περισσότερα

Αιμορροφιλία, τι είναι, τι προκαλεί και πώς αντιμετωπίζεται; Πρώτες βοήθειες αιμορραγικού επεισοδίου

Αιμορροφιλία, τι είναι, τι προκαλεί και πώς αντιμετωπίζεται; Πρώτες βοήθειες αιμορραγικού επεισοδίου

Επιμέλεια Κλεοπάτρα Ζουμπουρλή, μοριακής βιολόγου, medlabnews.gr Η Παγκόσμια Ημέρα Αιμορροφιλίας καθιερώθηκε το 1989 με πρωτοβουλία της Παγκόσμιας Οργάνωσης Αιμορροφιλίας (WFH), με σκοπό να αναδείξει το πρόβλημα των αιμορροφιλικών ατόμων. Εορτάζεται κάθε χρόνο στις 17 Απριλίου. Η ημερομηνία αυτή επιλέχθηκε για να τιμηθεί η γέννηση του ιδρυτή της οργάνωσης, Φρανκ Σνάμπελ, ο οποίος ήταν αιμορροφιλικός …

Περισσότερα

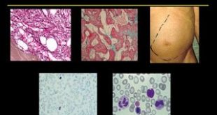
Δωρεάν mobile εφαρμογή για αιματολογικές κακοήθειες, εξαιρετικά χρήσιμη για ασθενείς και γιατρούς – MPN Assistant GR

Δωρεάν mobile εφαρμογή για αιματολογικές κακοήθειες, εξαιρετικά χρήσιμη για ασθενείς και γιατρούς - MPN Assistant GR

Με αφορμή την Παγκόσμια Ημέρα κατά του Καρκίνου, το Medlabnews.gr – Iatrikanea «κατέβασε», δοκίμασε και σας παρουσιάζει την αναλυτική χρήση της νέας εφαρμογής “MPN Assistant GR” της Novartis, η οποία απευθύνεται σε ασθενείς που πάσχουν από μυελοΐνωση ή αληθή πολυκυτταραιμία, καθώς και στους φροντιστές τους. Στόχος της εφαρμογής είναι η βελτιστοποίηση της παρακολούθησης των συμπτωμάτων του ασθενή και η διευκόλυνση της αποτελεσματικής επικοινωνίας …

Περισσότερα

Λευκά αιμοσφαίρια στο αίμα. Πότε έχουμε Χαμηλά (Λευκοπενία) και πότε Αυξημένα (Λευκοκυττάρωση);

Λευκά αιμοσφαίρια στο αίμα. Πότε έχουμε Χαμηλά (Λευκοπενία) και πότε Αυξημένα (Λευκοκυττάρωση);

του Κωνσταντίνου Λούβρου, M.D., medlabnews.gr Τα λευκά αιμοσφαίρια (WBC) ή λευκοκύτταρα ή λευκά αποτελούν ένα ετερογενές σύνολο κυτταρικών πληθυσμών του αίματος. Μεταξύ αυτών συγκαταλέγονται:. 1) τα πολυμορφοπύρηνα (ουδετερόφιλα, βασεόφιλα, εωσινόφιλα), 2) τα μεγάλα μονοπύρηνα και μακροφάγα και 3) τα λεμφοκύτταρα. Αποστολή όλων αυτών των κυττάρων είναι η άμυνα του οργανισμού. Τα …

Περισσότερα

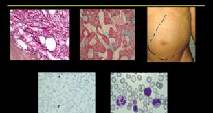
H Novartis παρουσιάζει τη νέα mobile εφαρμογή “MPN Assistant GR”, για ασθενείς με μυελοΐνωση και αληθή πολυκυτταραιμία

H Novartis παρουσιάζει τη νέα mobile εφαρμογή “MPN Assistant GR”, για ασθενείς με μυελοΐνωση και αληθή πολυκυτταραιμία

Η μυελοΐνωση ανήκει σε μία ομάδα σπάνιων, σχετιζόμενων μεταξύ τους αιματολογικών κακοηθειών που είναι γνωστές ως μυελοϋπερπλαστικά νεοπλάσματα (MPNs) και στις οποίες ο μυελός των οστών του ασθενούς δεν μπορεί πλέον να παράγει αρκετά φυσιολογικά κύτταρα αίματος, με συνέπεια τη διόγκωση του σπλήνα. Αυτό έχει ως πιθανό επακόλουθο να παρουσιάζουν …

Περισσότερα

Μοριακή – γονιδιακή ανάλυση της Θρομβοφιλίας. Πότε πρέπει να γίνεται ανίχνευση μεταλλάξεων για την θρομβοφιλία

Μοριακή - γονιδιακή ανάλυση της Θρομβοφιλίας. Πότε πρέπει να γίνεται ανίχνευση μεταλλάξεων για την θρομβοφιλία

της Κλεοπάτρας Ζουμπουρλή, μοριακή βιολόγος, medlabnews.gr Η δεσπόζουσα κλινική εκδήλωση της θρομβοφιλίας είναι η φλεβική θρόμβοεμβολική νόσος, η οποία είναι η τρίτη σε συχνότητα αγγειακή νόσος και αποτελεί σοβαρό πρόβλημα δημόσιας υγείας. Άλλες κλινικές εκδηλώσεις είναι οι θρομβώσεις σε ασυνήθεις θέσεις, οι καθ’ έξιν αποβολές καθώς και άλλες επιπλοκές της κύησης …

Περισσότερα

Και στην Ελλάδα η θεραπεία ασθενών με νεοδιαγνωσθέν πολλαπλoύν μυέλωμα

επιμέλεια Κασσιανή Τσώνη, medlabnews.gr Το πολλαπλούν μυέλωμα είναι ένας ανίατος και απειλητικός για τη ζωή αιματολογικός καρκίνος, ο οποίος χαρακτηρίζεται από κλωνική υπερπλασία και καταστολή του ανοσοποιητικού συστήματος. Είναι μία σπάνια αλλά θανατηφόρα νόσος: περίπου 39.000 άνθρωποι διαγιγνώσκονται με πολλαπλούνμυέλωμα στην Ευρώπη, ενώ περίπου 24.000 ασθενείς καταλήγουν από τη νόσο ετησίως. …

Περισσότερα

Δυνατότητα διακοπής θεραπείας σε ασθενείς με Χρόνια Μυελογενή Λευχαιμία, μετά από την λειτουργική ίαση της νόσου

Δυνατότητα διακοπής θεραπείας σε ασθενείς με Χρόνια Μυελογενή Λευχαιμία, μετά από την λειτουργική ίαση της νόσου

Η 22η Σεπτεμβρίου έχει οριστεί ως Παγκόσμια Ημέρα Ευαισθητοποίησης για τη ΧΜΛ καθόσον η συγκεκριμένη ημερομηνία (η 22η ημέρα του 9ου μήνα, 22/9), έχει έναν συμβολισμό που χαρακτηρίζει τη νόσο. Κι αυτό γιατί η δημιουργία του παρολογικού χρωμοσώματος της Φιλαδέλφειας, οφείλεται στο φαινόμενο της αντιμετάθεσης γενετικού υλικού μεταξύ των χρωμοσωμάτων 22 και 9.   Η ΧΜΛ είναι …

Περισσότερα

Ελλιπώς ενημερωμένοι οι Έλληνες για το λέμφωμα, τον συχνότερο αιματολογικό καρκίνο

Ελλιπώς ενημερωμένοι οι Έλληνες για το λέμφωμα, τον συχνότερο αιματολογικό καρκίνο

Η 15η Σεπτεμβρίου έχει καθιερωθεί ως η Παγκόσμια Ημέρα Ευαισθητοποίησης για το Λέμφωμα, μιας ασθένειας για την οποία οι πολίτες γνωρίζουν ελάχιστα. Στην Ελλάδα, μελέτες καταδεικνύουν, ότι οι ασθενείς που πάσχουν από λέμφωμα εμφανίζονται ελλιπώς ενημερωμένοι σχετικά με ζητήματα που αφορούν στην ασθένειά τους, τη θεραπεία που πρέπει να ακολουθήσουν και …

Περισσότερα

Ενημερωτική εκδήλωση για τον Αιματολογικό Καρκίνο «Αιματολογικός Καρκίνος: Πρόληψη-Θεραπεία-Ίαση»

Ενημερωτική εκδήλωση για τον Αιματολογικό Καρκίνο «Αιματολογικός Καρκίνος: Πρόληψη-Θεραπεία-Ίαση»

Τετάρτη 20/09/2017, 17:00-21:00, Λέσχη Αξιωματικών Ενόπλων Δυνάμεων  O Σύλλογος Καρκινοπαθών-Εθελοντών-Φίλων-Ιατρών «Κ.Ε.Φ.Ι.» Αθηνών διοργανώνει Επιστημονική Ημερίδα ενημέρωσης για το κοινό σχετικά με τον Αιματολογικό Καρκίνο,με τη συμμετοχή διακεκριμένων ιατρών αιματολόγων, την Τετάρτη 20 Σεπτεμβρίου 2017 και ώρα 17:00-21:00, στη Λέσχη Αξιωματικών Ενόπλων Δυνάμεων (Ρηγίλλης 1, Αθήνα). Σκοπός της Ημερίδας είναι η ενημέρωση σχετικά με την αντιμετώπιση των αιματολογικών κακοηθειών που έχει …

Περισσότερα

Όσο ψηλότερος είναι ένας άνθρωπος, τόσο πιθανότερο είναι ότι μπορεί να αναπτύξει θρόμβους στις φλέβες του

Όσο ψηλότερος είναι ένας άνθρωπος, τόσο πιθανότερο είναι ότι μπορεί να αναπτύξει θρόμβους στις φλέβες του

Όσο ψηλότερος είναι ένας άνθρωπος, τόσο πιθανότερο είναι ότι μπορεί να αναπτύξει θρόμβους στις φλέβες του, αυξάνοντας έτσι τον καρδιαγγειακό κίνδυνο που αντιμετωπίζει, σύμφωνα με μια νέα σουηδική επιστημονική έρευνα. Ο κίνδυνος φλεβικής θρομβοεμβολής είναι σημαντικά μικρότερος στους κοντούς. Για άνδρες με ύψος κάτω του 1,60 μέτρου, ο κίνδυνος φλεβικής …

Περισσότερα