Home / Tag Archives: ΠΡΟΛΗΨΗ (page 12)

Tag Archives: ΠΡΟΛΗΨΗ

Το τέλος του καλοκαιριού φέρνει και πόνο στη μέση. Τι μπορούμε να κάνουμε με την οσφυαλγία και ποιες οι σωστές ασκήσεις για την πρόληψη;

Το τέλος του καλοκαιριού φέρνει και πόνο στη μέση. Τι μπορούμε να κάνουμε με την οσφυαλγία και ποιες οι σωστές ασκήσεις για την πρόληψη;

του Αλέξανδρου Γιατζίδη, M.D., medlabnews.gr Η καλοκαιρινή χαλάρωση από την καθημερινή ρουτίνα,  το κουβάλημα αποσκευών, πολλές φορές με αρκετό βάρος, δουλειές του σπιτιού και τακτοποίηση πραγμάτων με την ευκαιρία της άδειας, σε συνδυασμό με την διακοπή του γυμναστηρίου που μπορεί να πηγαίνατε τον χειμώνα, φέρνει πόνους στην μέση. Όπως καταλαβαίνετε …

Περισσότερα

Τι γνωρίζετε για τη διάβρωση των δοντιών; Πότε συμβαίνει και πώς αντιμετωπίζεται;

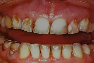
Τι γνωρίζετε για τη διάβρωση των δοντιών; Πότε συμβαίνει και πώς αντιμετωπίζεται;

Συντάκτης Γιώργος Κουτσικάκης Χειρουργός Οδοντίατρος Μ.Sc., medlabnews.gr Είναι η φθορά της εξωτερικής επιφάνειας των δοντιών που οφείλεται σε χημικά αίτια. Προσβάλλεται αρχικά η αδαμαντίνη (το σμάλτο) και στη συνέχεια η υποκείμενη οδοντίνη . Η πρόσληψη όξινων ποτών και  οι εμέσεις  ή εκκρίσεις του γαστρεντερικού σωλήνα προκαλούν τη διάβρωση των δοντιών. Έτσι …

Περισσότερα

Η εκφύλιση της ωχράς κηλίδας, η λουτεΐνη και η ζεαξανθίνη. Ποιες τροφές τις περιέχουν και κάνουν καλό στα μάτια μας;

Η εκφύλιση της ωχράς κηλίδας, η λουτεΐνη και η ζεαξανθίνη. Ποιες τροφές τις περιέχουν και κάνουν καλό στα μάτια μας;

του Κωνσταντίνου Λούβρου, M.D., medlabnews.gr Η λουτεΐνη και η ζεαξανθίνη είναι οργανικές χρωστικές ουσίες που ανήκουν στην κατηγορία των ξανθοφυλλών που μαζί με μια άλλη κατηγορία αυτή των καροτενίων στην οποία ανήκουν η βήτα-καροτίνη και το λυκοπένιο απαρτίζουν μια μεγαλύτερη ομάδα αυτή των καροτενοειδών. Τα δύο θρεπτικά συστατικά, η λουτεΐνη …

Περισσότερα

Πρώτες βοήθειες για τσίμπημα μέλισσας, σφήκας ή σφίγγας ή σφήγκας. Αντιμετώπιση με φυσικά μέσα. Πρόληψη αλλεργικής αντίδρασης

Πρώτες βοήθειες για τσίμπημα μέλισσας, σφήκας ή σφίγγας ή σφήγκας. Αντιμετώπιση με φυσικά μέσα. Πρόληψη αλλεργικής αντίδρασης

του Ξενοφώντα Τσούκαλη, M.D, medlabnews.gr Όταν μία μέλισσα τσιμπάει, χάνει το κεντρί της και πεθαίνει. Η σφήκα όπως μπορεί να επιφέρει πολλαπλά τσιμπήματα καθώς δεν αφήνει πίσω το κεντρί της. Τα τσιμπήματα αυτά μπορεί να έχουν σοβαρές αντιδράσεις σε αλλεργικά άτομα. Η θνησιμότητα μετά από τσίμπημα σφήκας ή μέλισσας οφεί­λεται …

Περισσότερα

Πονοκέφαλος, μπούκωμα, βαρύ κεφάλι, κούραση μετά από κολύμπι και βουτιές, μπορεί να οφείλονται σε ιγμορίτιδα

Πονοκέφαλος, μπούκωμα, βαρύ κεφάλι, κούραση μετά από κολύμπι και βουτιές, μπορεί να οφείλονται σε ιγμορίτιδα

του Αλέξανδρου Γιατζίδη, M.D, medlabnews.gr ανανεωμένο 5-8-15 Η ιγμορίτιδα είναι η φλεγμονή της μεμβράνης που καλύπτει τα ιγμόρεια. Τα ιγμόρεια είναι κοιλότητες γεμάτες αέρα που σχηματίζονται από τα οστά που περιβάλλουν τη μύτη και επικοινωνούν με μικρά σωληνάκια με το εσωτερικό της μύτης. Tα ιγμόρεια άντρα και οι ηθμοειδείς κυψέλες δημιουργούνται …

Περισσότερα

Κοκκινίλες στο σώμα με ή χωρίς φαγούρα. Αιτίες και μέτρα πρόληψης

Κοκκινίλες στο σώμα με ή χωρίς φαγούρα. Αιτίες και μέτρα πρόληψης

της Θάλειας Γούτου, κοσμετολόγος, medlabnews.gr Το δέρμα αποτελεί τον καθρέπτη της υγείας, καθώς μέσω των μικροσκοπικών αιμοφόρων αγγείων του (λέγονται τριχοειδή αγγεία) και των νευρικών απολήξεων (δηλαδή των ακροτελευταίων τμημάτων των νεύρων) γίνεται αποδέκτης μηνυμάτων που αφορούν ό,τι συμβαίνει βαθιά μέσα στο σώμα. Ο κνησμός (φαγούρα) μπορεί να αποτελεί ένδειξη …

Περισσότερα

Τι πρέπει να προσέχουμε όταν ασκούμαστε το καλοκαίρι

Τι πρέπει να προσέχουμε όταν ασκούμαστε το καλοκαίρι

Επιμέλεια Κασσιανή Τσώνη, medlabnews.gr Για όλους εκείνους που δεν θέλουν με την ζέστη να σταματήσουν την άσκησή τους, χρειάζεται απλά να προσέχουν απλά πράγματα για να μην συμβεί, αντί για καλό να κάνουν τελικά κακό στην υγεία τους. Κατά την άσκηση σε υψηλές θερμοκρασίες περιβάλλοντος, αυξάνεται η θερμοκρασία του σώματος και …

Περισσότερα

Τραυματιστήκατε; Πότε πρέπει να κάνετε το εμβόλιο για τον τέτανο; (video)

Τραυματιστήκατε; Πότε πρέπει να κάνετε το εμβόλιο για τον τέτανο; (video)

του Ξενοφώντα Τσούκαλη, M.D., medlabnews.gr Ο τέτανος (Tetanus) είναι μια οξεία νευρολογική νόσος που προκαλείται από την εξωτοξίνη τετανοσπασμίνη του κλωστηριδίου του τετάνου (Clostridium Τetani), το οποίο αναπτύσσεται αναερόβια στην περιοχή του τραύματος. Ο τέτανος οφείλεται στο κλωστηρίδιο του τετάνου, το οποίο είναι θετικό κατά Gram αναερόβιο μικρόβιο που παράγει …

Περισσότερα

Γιατί 400 άτομα χάνουν την ζωή τους κάθε χρόνο από πνιγμό; Πρόληψη αποτροπής του πνιγμού. Μπορούν να μάθουν κολύμβηση τα μωρά; (video)

Γιατί 400 άτομα χάνουν την ζωή τους κάθε χρόνο από πνιγμό; Πρόληψη αποτροπής του πνιγμού. Μπορούν να μάθουν κολύμβηση τα μωρά; (video)

του Κωνσταντίνου Λούβρου, M.D., medlabnews.gr Τη θλιβερή πρωτιά με τους περισσότερους θανάτους από πνιγμό διατηρεί η χώρα μας σε ευρωπαϊκό επίπεδο, πράγμα που ως ένα βαθμό δικαιολογείται από την τεράστια έκταση της ακτογραμμής της και από τον μεγάλο όγκο των λουόμενων, που κατακλύζει κάθε χρόνο τις παραλίες της. Εκείνο όμως …

Περισσότερα

Παίρνετε φάρμακα; Τι πρέπει να προσέχετε με την ζέστη

Παίρνετε φάρμακα; Τι πρέπει να προσέχετε με την ζέστη

του Κωνσταντίνου Λούβρου, M.D., medlabnews.gr Η δοσολογία ορισμένων φαρμάκων μπορεί να διαφοροποιηθεί τους μήνες του καλοκαιριού. Όπως, για παράδειγμα, τα αντιπηκτικά –κουμαρινικά φάρμακα που με την ζέστη και την αφυδάτωση παρατηρείται παράταση της αντιπηκτικής δράσης (ανεβαίνει το INR), και τα διουρητικά φάρμακα που χορηγούνται στους υπερτασικούς, τα οποία πρέπει να λαμβάνονται σε μικρότερες δόσεις, …

Περισσότερα

Τι παγωτά ΔΕΝ πρέπει να τρώμε

Τι παγωτά ΔΕΝ πρέπει να τρώμε

της Κλεοπάτρας Ζουμπουρλή, μοριακή βιολόγος, medlabnews.gr Τώρα το καλοκαίρι καλό είναι να έχουμε υπ’όψη μας κάποια απλά πράγματα για τα παγωτά που θα καταναλώσουμε. Τα παγωτά του εμπορίου είναι τριών ειδών:  Το πρώτο είναι το φρέσκο, το οποίο μπορεί κάποιος να προμηθευτεί από καλά ζαχαροπλαστεία και το οποίο έχει παρασκευασθεί …

Περισσότερα

Συμπτώματα που θα σας κάνουν να ψάξετε για διαβήτη. Κράμπες, θολή όραση, απώλεια βάρους, εύκολη κούραση, υπνηλία είναι μερικά από αυτά

Συμπτώματα που θα σας κάνουν να ψάξετε για διαβήτη. Κράμπες, θολή όραση, απώλεια βάρους, εύκολη κούραση, υπνηλία είναιΣυμπτώματα που θα σας κάνουν να ψάξετε για διαβήτη. Κράμπες, θολή όραση, απώλεια βάρους, εύκολη κούραση, υπνηλία είναι μερικά από αυτά μερικά από αυτά

του Ξενοφώντα Τσούκαλη, M.D., medlabnews.gr Περίπου 1 στους 10 έλληνες έχει διαβήτη. Ο αριθμός των ατόμων με Διαβήτη στην Ελλάδα έχει τετραπλασιαστεί τα τελευταία 30 χρόνια. Τα συμπτώματα του διαβήτη ποικίλλουν ανάλογα με το πόσο υψηλές είναι οι τιμές της γλυκόζης στο αίμα σας. Αν και η ενημέρωση για τις …

Περισσότερα

Kαλοκαιρινά προβλήματα υγείας: Αφυδάτωση, Ηλίαση – θερμοπληξία, Τροφικές δηλητηριάσεις, Πνιγμός

Kαλοκαιρινά προβλήματα υγείας: Αφυδάτωση, Ηλίαση - θερμοπληξία, Τροφικές δηλητηριάσεις, Πνιγμός

Eπιμέλεια Κασσιανή Τσώνη, medlabnews.gr Το καλοκαίρι είναι απαραίτητο για να χαλαρώσουμε και αναζωογονηθούμε. Οι διακοπές από την ρουτίνα και τα προβλήματα της καθημερινότητας είναι απαραίτητες για να μας δώσουν ενέργεια και την ψυχική ανάταση για να μπορέσουμε να προχωρήσουμε την ζωή μας. Όμως το καλοκαίρι ενέχει κινδύνους, που είναι καλό να γνωρίζουμε και τα τους αποφεύγουμε, αλλιώς κινδυνεύουμε να εμπλακούμε με περιπέτειες που θα μας καταστρέψουν τις λίγες αλλά πολύτιμες μέρες των διακοπών μας. Αφυδάτωση Ο δυνατός ήλιος του καλοκαιριού και οι ψηλές θερμοκρασίες επιβάλλουν τη λήψη πολλών υγρών. Η αφυδάτωση είναι κίνδυνος που απειλεί όλους αλλά ιδιαίτερα τα παιδιά, τους ηλικιωμένους και τα ευπαθή άτομα. Πρέπει να πίνουμε πολύ νερό, τουλάχιστο 8 ποτήρια την ημέρα. Οι χυμοί είναι μια καλή λύση για να παίρνουμε τα απαραίτητα υγρά. Περιέχουν πολύτιμα θρεπτικά συστατικά και βιταμίνες.  Τα αλκοολούχα ποτά να αποφεύγονται διότι αυξάνουν τον κίνδυνο αφυδάτωσης.  Ηλίαση – θερμοπληξία  Ο ήλιος προκαλεί ρυτίδες και  γήρανση δέρματος. Μη βγαίνετε στον ήλιο από τις 12 το πρωί έως τις 4 το απόγευμα. Οι αντηλιακές κρέμες με βαθμό προστασίας μεγαλύτερο από 30 …

Περισσότερα

Δωρεάν 4.744 προληπτικές ιατρικές εξετάσεις σε πέντε ακριτικά νησιά του Αιγαίου από τους γιατρούς της «Ανοιχτής Αγκαλιάς»

Δωρεάν 4.744 προληπτικές ιατρικές εξετάσεις σε πέντε ακριτικά νησιά του Αιγαίου από τους γιατρούς της «Ανοιχτής Αγκαλιάς»

ΙΚΑΡΙΑ-ΦΟΥΡΝΟΙ-ΛΕΙΨΟΙ-ΚΑΡΠΑΘΟΣ-ΚΑΣΟΣ Συνεχίζοντας το Πρόγραμμα Προληπτικής Ιατρικής και Ενημέρωσης με συνέπεια και ευθύνη, κυρίως όμως με σεβασμό στον άνθρωπο και στις ιδιαιτερότητες του τόπου, στο χρονικό διάστημα 19/4-19/5/2015 οι εθελοντές γιατροί και νοσηλευτές της «Ανοιχτής Αγκαλιάς» επισκέφθηκαν τα ακριτικά νησιά Ικαρία-Φούρνους-Λειψούς-Κάρπαθο-Κάσο. Κοινό χαρακτηριστικό ήταν πως οι ανάγκες έχουν αυξηθεί στο χώρο …

Περισσότερα

Χρήσιμες οδηγίες για τις ζεστές ημέρες του καλοκαιριού

Χρήσιμες οδηγίες για τις ζεστές ημέρες του καλοκαιριού

της Κασσιανής Τσώνη,  medlabnews.gr Οι υψηλές θερμοκρασίες αποτελούν αναπόσπαστο κομμάτι της καθημερινότητάς μας κατά τη διάρκεια του καλοκαιριού. Σε ορισμένες περιπτώσεις, ωστόσο, μπορούν να οδηγήσουν σε ανεπιθύμητες ή και επικίνδυνες για την υγεία τους καταστάσεις. Ιδιαίτερη φροντίδα πρέπει να υπάρχει για τις ευπαθέστερες στις υψηλές θερμοκρασίες ομάδες πληθυσμού, οι οποίες είναι …

Περισσότερα