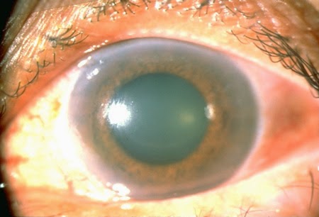
Ενδελεχή έλεγχο για χρόνιο γλαύκωμα πρέπει να κάνουν όσοι στο παρελθόν έκαναν διαθλαστική επέμβαση διόρθωσης μυωπίας, υπερμετρωπίας, αστιγματισμού και είναι σήμερα κοντά στην ηλικία των 40 χρόνων! Κι αυτό γιατί η πιθανότητα ανάπτυξης γλαυκώματος ειδικά σε όσους είχαν μεγάλου βαθμού μυωπία (υψηλούς μύωπες) είναι σχεδόν τριπλάσια σε σχέση με όσους …
ΠερισσότεραΣημαντικά τα οφέλη της υγείας από τα κολοκυθάκια. Κάνουν καλό στα μάτια, στα οστά, στον προστάτη, μειώνουν την χοληστερίνη, καταπολεμούν τον καρκίνο
της Κλεοπάτρας Ζουμπουρλή, μοριακή βιολόγος, medlabnews.gr Τα κολοκυθάκια αποτελούν πολύτιμο σύμμαχο της καθημερινής μας διατροφής. Μπορεί να μην έχουν πληθώρα θρεπτικών συστατικών όπως άλλα λαχανικά, ωστόσο είναι εξαιρετικά χαμηλά σε θερμίδες ενώ πλούσια σε βιταμίνες. Οι κολοκυθιές είναι ένα από τα πιο εύκολα στην καλλιέργεια φυτά. Τα κολοκυθάκια έρχονται σε …
ΠερισσότεραΗ εκφύλιση της ωχράς κηλίδας, η λουτεΐνη και η ζεαξανθίνη. Ποιες τροφές τις περιέχουν και κάνουν καλό στα μάτια μας;
του Κωνσταντίνου Λούβρου, M.D., medlabnews.gr Η λουτεΐνη και η ζεαξανθίνη είναι οργανικές χρωστικές ουσίες που ανήκουν στην κατηγορία των ξανθοφυλλών που μαζί με μια άλλη κατηγορία αυτή των καροτενίων στην οποία ανήκουν η βήτα-καροτίνη και το λυκοπένιο απαρτίζουν μια μεγαλύτερη ομάδα αυτή των καροτενοειδών. Τα δύο θρεπτικά συστατικά, η λουτεΐνη …
ΠερισσότεραΣυμπτώματα που θα σας κάνουν να ψάξετε για διαβήτη. Κράμπες, θολή όραση, απώλεια βάρους, εύκολη κούραση, υπνηλία είναι μερικά από αυτά
του Ξενοφώντα Τσούκαλη, M.D., medlabnews.gr Περίπου 1 στους 10 έλληνες έχει διαβήτη. Ο αριθμός των ατόμων με Διαβήτη στην Ελλάδα έχει τετραπλασιαστεί τα τελευταία 30 χρόνια. Τα συμπτώματα του διαβήτη ποικίλλουν ανάλογα με το πόσο υψηλές είναι οι τιμές της γλυκόζης στο αίμα σας. Αν και η ενημέρωση για τις …
ΠερισσότεραΜύρτιλα (blueberries) και άγρια μύρτιλα (bilberries) για το μεταβολικό σύνδρομο, την παχυσαρκία, τον διαβήτη, την καρδιά, τον καρκίνο, τα μάτια, την αντιγήρανση.
της Κλεοπάτρας Ζουμπουρλή, μοριακή βιολόγος, medlabnews.gr Το μύρτιλο (Βακκίνιον ο Μύρτιλλος – Vaccinium myrtillus) ανήκει στην οικογένεια των Ερεικοειδών η οποία περιλαμβάνει πολλά φυτά χαμηλής ανάπτυξης. Είναι αυτοφυές, και το συναντάμε συνήθως στις εύκρατες και ψυχρές περιοχές του πλανήτη. Το ύψος του θάμνου κυμαίνεται από 60 μέχρι 2,5m με πυκνό …
ΠερισσότεραΜε ποιους τρόπους φροντίζουμε τα μάτια μας, το καλοκαίρι;
Επιμέλεια Κασσιανή Τσώνη, medlabnews.gr Τους θερινούς μήνες η αυξημένη ηλιοφάνεια, η υπεριώδης ακτινοβολία και η ελάττωση των δακρύων λόγω της αυξημένης θερμοκρασίας, έχουν σαν συνέπεια να εμφανίζονται διάφορα οφθαλμολογικά προβλήματα όπως επιπεφυκίτιδα, κερατίτιδα, δερματίτιδα βλεφάρων, φωτοτραυματισμός κ.α. Ακόμη, είναι συχνές οι μολύνσεις των ματιών από τις ακάθαρτες πισίνες ή τη …
ΠερισσότεραΤσίμπλα, δάκρυα, κόκκινα ερεθισμένα μάτια οφείλονται σε επιπεφυκίτιδα
του Κωνσταντίνου Λούβρου, M.D., medlabnews.gr Το μάτι και το βλέφαρο καλύπτεται από μια μεμβράνη που το προστατεύει και λέγεται επιπεφυκότας (ο άσπρος χιτώνας του ματιού). Τα ερεθισμένα μάτια φαίνονται να «κοκκινίζουν», διότι τον ερεθισμό τους συνοδεύει ερυθρότητα, που οφείλεται σε διαστολή των αγγείων, που βρίσκονται στη μεμβράνη. Αν αυτή η …
ΠερισσότεραΝέο Τμήμα Γλαυκώματος Ενηλίκων και Παίδων στο Ιατρικό Κέντρο Αθηνών
Ο Όμιλος Ιατρικού Αθηνών, συνεχίζοντας να καινοτομεί και να επενδύει σε εξειδικευμένα τμήματα ιατρικής, εγκαινίασε το νέο Τμήμα Γλαυκώματος για Ενήλικες και Παιδιά που ξεκίνησε να λειτουργεί στις εγκαταστάσεις του Ιατρικού Κέντρου Αθηνών στο Μαρούσι. Αξίζει να αναφερθεί ότι πρόκειται για το πρώτο οργανωμένο Τμήμα για το παιδιατρικό γλαύκωμα στον ιδιωτικό τομέα …
ΠερισσότεραΤι είναι το χαλάζιο στο μάτι; Σε τι διαφέρει από το κριθαράκι; Από τι προκαλείται και πώς αντιμετωπίζεται; Πώς προλαμβάνεται η υποτροπή;
του Ξενοφώντα Τσούκαλη, M.D., medlabnews.gr Χαλάζιο ονοµάζουµε τον έντονο ερεθισµό που παρουσιάζεται συνήθως στο πάνω βλέφαρο, περιστασιακά όπως και στο κάτω βλέφαρο. Το χαλάζιο αποτελεί κύστη κατακράτησης σμηγματωδών εκκρίσεων μετά από απόφραξη ενός εκ των σμηγματογόνων πόρων του πάνω ή του κάτω βλεφάρου. Σε αυτήν την περίπτωση το βλέφαρο διογκώνεται, …
ΠερισσότεραΓιατί κάνετε μαύρες σακούλες κάτω από τα μάτια όταν είστε κουρασμένοι;
Η έλλειψη ύπνου και ξεκούρασης φαίνεται να δημιουργεί μαύρους κύκλους, για λόγους που δεν είναι ακόμη κατανοητοί. Το δέρμα κάτω από τα μάτια είναι το λεπτότερο σε όλο το σώμα, και έτσι επιτρέπει στο σκούρο, φλεβικό αίμα να φαίνεται. Οι μαύροι κύκλοι γύρω από τα μάτια είναι συνηθισμένο πρόβλημα. Φαίνεται πως …
ΠερισσότεραΠονοκέφαλος, ξηροφθαλμία, θολή όραση, κουρασμένα μάτια, πόνος στον αυχένα οφείλονται στο Computer Vision Syndrome. Τι είναι και πώς αντιμετωπίζεται;
του Αλέξανδρου Γιατζίδη, M.D., medlabnews.gr Όλο και περισσότερες ώρες περνάμε μπροστά στον υπολογιστή. Μάλιστα την περίοδο αυτή, της οικονομικής κρίσης, έχει παρατηρηθεί ότι έχει αυξηθεί ακόμα περισσότερο η χρήση του Η/Υ με την μεγάλη χρήση του διαδικτύου. H πολύωρη χρήση του υπολογιστή όμως προϋποθέτει προσοχή γιατί καταπονούμε τα μάτια και το σώμα …
ΠερισσότεραΒάλτε τις φράουλες στη διατροφή σας. Κάνουν καλό στην πίεση, στα μάτια, στην αναιμία, στην αρθρίτιδα, στην μνήμη, στον καρκίνο
της Αγγελικής Μήλιου, βιολόγου, medlabnews.gr Η φράουλα από τα πιό νόστιμα φρούτα της άνοιξης έχει διανύσει πολλά βήματα για να καταλήξει να καλλιεργείται από τα δάση σε κήπους και θερμοκήπια και αυτό γιατί, εκτός από νόστιμη, είναι ωφελιμότατη. Πρόκειται για φρούτο που καλλιεργείται στην Ελλάδα από πολύ παλιά. Τις βρίσκουμε όλο το χρόνο ωστόσο η κορύφωση της παραγωγής τους είναι από τον Απρίλη μέχρι τον Ιούλιο. Υπάρχουν περισσότερες από 600 ποικιλίες φράουλας, κάθε μια από τις οποίες διαφέρει σε γεύση, μέγεθος και υφή. Πολύ φτωχή σε …
ΠερισσότεραΚάθε πότε πρέπει να πηγαίνουμε στον οφθαλμίατρο
Συνηθίζουμε να αμελούμε την επίσκεψη στον οποιονδήποτε γιατρό μέχρι κάποια ενόχληση να εξελιχθεί σε καθημερινό εμπόδιο. Δεν πρέπει όμως να αγνοούμε το γεγονός ότι η τυπική επίσκεψη ανά τακτά χρονικά διαστήματα, στον οφθαλμίατρο, τον καρδιολόγο, τον οδοντίατρο και κάθε άλλο γιατρό, είναι απαραίτητη για να προλάβουμε μια πάθηση πριν εξελιχθεί. …
ΠερισσότεραΠαγκόσμια Εβδομάδα Γλαυκώματος: Μάθετε για το γλαύκωμα και προστατεύστε τα μάτια σας πριν να είναι πολύ αργά
Ο AΘΟΡΥΒΟΣ ΚΛΕΦΤΗΣ ΤΗΣ ΟΡΑΣΗΣ Παγκόσμια Εβδομάδα Γλαυκώματος: Μάθετε για το γλαύκωμα και προστατεύστε τα μάτια σας πριν να είναι πολύ αργά 67 εκατομμύρια άνθρωποι σε όλο τον κόσμο πάσχουν από γλαύκωμα Το γλαύκωμα συνήθως δεν εμφανίζει συμπτώματα και μπορεί να παραμείνει επί μακρόν αδιάγνωστο. Oι ασθενείς πριν καν αντιληφθούν …
ΠερισσότεραΤο γλαύκωμα είναι η δεύτερη πιο κοινή αιτία τύφλωσης
Περισσότεροι από 6,7 εκατομμύρια άνθρωποι θα τυφλωθούν από γλαύκωμα παγκοσμίως τα επόμενα πέντε χρόνια (2020), σύμφωνα με εκτίμηση του Παγκόσμιου Οργανισμού Γλαυκώματος! Η δυσοίωνη αυτή εκτίμηση οφείλεται στο γεγονός ότι το γλαύκωμα είναι η δεύτερη πιο κοινή αιτία τύφλωσης παγκοσμίως καθώς στα αρχικά στάδια δεν προκαλεί συμπτώματα και όταν διαγνωστεί …
Περισσότερα
Ιατρικά Νέα Θέματα για την υγεία | Το εγκυρότερο ελληνικό portal με θέματα υγείας, διατροφής, ομορφιάς, φυσικής κατάστασης, ιατρικών θεμάτων