Δόντια

Οι ρίζες των δοντιών πότε και πώς προσβάλλονται από τερηδόνα;

του Γιώργου Κουτσικάκη, Χειρουργού Οδοντιάτρου Μ.Sc., medlabnews.gr Με την  ηλικία, και όχι μόνο, συχνά τα ούλα υφιζάνουν και έτσι εκθέτουν τις…

8 έτη ago

Η άμεση φυσική λύση για τον πονόδοντο μέχρι να πάτε στο γιατρό

Ο πονόδοντος είναι ένας από τους πιο ισχυρούς πόνους που μπορεί να προκαλέσει ακόμη και πονοκέφαλο.  Φυσικά, ο οδοντίατρος είναι…

8 έτη ago

Τα αντιβιοτικά και η χρήση τους στην οδοντιατρική. Πότε και γιατί η χρήση των αντιβιοτικών;

Συντάκτης Γιώργος Κουτσικάκης, Χειρουργός Οδοντίατρος Μ.Sc., medlabnews.gr Γενικά τα αντιβιοτικά είτε σκοτώνουν (βακτηριοκτόνα) είτε αναστέλλουν τη δράση (βακτηριοστατικά) των βακτηρίων και…

8 έτη ago

Στοματικό απόστημα: Μια δυσάρεστη διόγκωση στο στόμα ή και στο πρόσωπο

Συντάκτης Γιώργος Κουτσικάκης Χειρουργός Οδοντίατρος Μ.Sc., medlabnews.gr Το  στοματικό απόστημα είναι ένα θορυβώδες πλην όμως αντιμετωπίσιμο φαινόμενο. Συνήθως όλα ξεκινούν από…

9 έτη ago

Οδηγίες για σωστό βούρτσισμα και την «Οδοντοστοιχούλα» που κάνει το βούρτσισμα των δοντιών παιχνίδι!

Με την «Οδοντοστοιχούλα» το βούρτσισμα των δοντιών γίνεται παιχνίδι! Οδηγίες για σωστό βούρτσισμα Θέλετε να θωρακίσετε τη στοματική υγεία των…

9 έτη ago

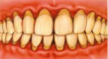
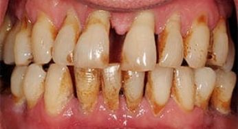
Περιοδοντίτιδα. Τι είναι, πώς προκαλείται και τι προκαλεί;

της Κασσιανής Τσώνη, medlabnews.gr Η περιοδοντική νόσος αποτελεί το υπ' αριθμόν ένα αίτιο απώλειας δοντιών σε ηλικίες άνω των 35. Υπάρχει…

9 έτη ago

Κακοσμία του στόματος. Που οφείλεται και πώς μπορεί να απαλλαγείτε;

Συντάκτης Γιώργος Κουτσικάκης Χειρουργός Οδοντίατρος Μ.Sc., medlabnews.gr Η άσχημη αναπνοή ή κακοσμία του στόματος είναι μία πολύ δυσάρεστη κατάσταση που κρατά…

9 έτη ago

Kάταγμα δοντιού. Πονάτε στο δάγκωμα; Μήπως έχει σπάσει δόντι;

Συντάκτης Γιώργος Κουτσικάκης Χειρουργός Οδοντίατρος Μ.Sc., medlabnews.gr Είναι δυνατόν να σπάσει ένα κομμάτι της μύλης του δοντιού  από τραύμα ή από…

9 έτη ago

Γνωρίζετε ότι το νερό της πισίνας μπορεί να επηρεάσει τα δόντια σας;

Συντάκτης Γιώργος Κουτσικάκης Χειρουργός Οδοντίατρος Μ.Sc., medlabnews.gr Οι χημικές ουσίες στις πισίνες μπορεί να οδηγήσουν στο δυσχρωματισμό των δοντιών αν κολυμπάτε…

9 έτη ago

Η περιοδοντίτιδα σχετίζεται με αυξημένο κίνδυνο καρκίνου στις γυναίκες μέσης και τρίτης ηλικίας

Η περιοδοντική νόσος ή περιοδοντίτιδα- σχετίζεται με αυξημένο κίνδυνο για την εμφάνιση διαφόρων ειδών καρκίνου στις γυναίκες, ιδίως σε εκείνες…

9 έτη ago

By continuing to use the site, you agree to the use of cookies