Υγεία

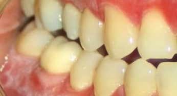
Αποφλοιωτική ουλίτιδα, με κοκκινίλες και φυσαλίδες που σκάνε στα ούλα

του Γιώργου Κουτσικάκη, Χειρουργού Οδοντιάτρου Μ.Sc., medlabnews.gr Αν νιώθετε τα ούλα σας σαν να ξεφλουδίζουν και υπάρχουν κοκκινίλες, φυσαλίδες που σκάνε…

8 έτη ago

Ο γυναικολογικός καρκίνος δεν είναι κατ’ ανάγκη εμπόδιο στην τεκνοποίηση

Στη χώρα μας τους τελευταίους 6 μήνες  γεννήθηκαν δύο υγιή αγόρια από αντίστοιχα γενναίες γυναίκες, οι οποίες πριν από 3…

8 έτη ago

Μόνο η γυμναστική δεν αρκεί για να αδυνατίσεις

Η άσκηση, εάν δεν συνδυαστεί με αλλαγές στις διατροφικές συνήθειες, δεν είναι πιθανό να οδηγήσει σε μείωση του σωματικού βάρους,…

8 έτη ago

Τι απαγορεύεται να κάνεις πριν από την επίσκεψη στον γυναικολόγο

Για τις περισσότερες από εμάς, η επίσκεψη στον γυναικολόγο μας είναι ίσως η πιο δύσκολη εξέταση που πρέπει να κάνουμε μέσα στον…

8 έτη ago

Η ζωή του μωρού μέσα στην κοιλιά – Η πορεία 9 μηνών στη μήτρα μέσα σε μόλις 4’ [βίντεο]

Εννέα μήνες είναι αρκετοί για να ολοκληρωθεί το θαύμα και να σφίξουν οι γονείς το μωράκι τους στην αγκαλιά τους.…

8 έτη ago

Τρεις συμβουλές για να ενισχύσετε τον οργανισμό σας απέναντι στις ιώσεις

Ο χειμώνας φέρνει μαζί του και τις ιώσεις και κάποιοι άνθρωποι όντας πιο ευάλωτοι κολλάνε πιο συχνά. Οι έως τώρα…

8 έτη ago

Πώς η γειτονιά που ζούμε επηρεάζει το βάρος μας

Σύμφωνα με μια νέα βρετανική επιστημονική έρευνα, όσοι μένουν σε ακτίνα ενός χιλιομέτρου από γυμναστήριο, γήπεδο, πισίνα ή άλλη εγκατάσταση…

8 έτη ago

Η επιμονή είναι ίσως το κλειδί για την μακροζωία

Σίγουρα δεν υπάρχουν μαγικές συνταγές που εξασφαλίζουν την αιωνιότητα, ωστόσο σύμφωνα με νέα έρευνα η ισχυρογνωμοσύνη, η επιμονή, το πείσμα…

8 έτη ago

Τροφές χρήσιμες για το κρύο και που βοηθούν να κρατήσουμε το σώμα μας ζεστό

της Αγγελικής Μήλιου, βιολόγου, medlabnews.gr Η πτώση της θερμοκρασίας, καθιστά τον οργανισμό μας πιο ευάλωτο σε ιώσεις αν δεν ντυνόμαστε καλά.…

8 έτη ago

Υπολογιστές κάνουν διαγνώσεις εξίσου καλά με τους γιατρούς

Οι αλγόριθμοι της τεχνητής νοημοσύνης είναι ήδη σε θέση να κάνουν διαγνώσεις των μεταστάσεων του καρκίνου του μαστού στους λεμφαδένες…

8 έτη ago

By continuing to use the site, you agree to the use of cookies