Υγεία

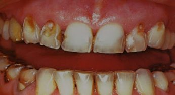
Τι γνωρίζετε για τη διάβρωση των δοντιών; Πότε συμβαίνει και πώς αντιμετωπίζεται;

Συντάκτης Γιώργος Κουτσικάκης Χειρουργός Οδοντίατρος Μ.Sc., medlabnews.gr Είναι η φθορά της εξωτερικής επιφάνειας των δοντιών που οφείλεται σε χημικά αίτια. Προσβάλλεται…

11 έτη ago

Τι είναι το σύνδρομο «Ωραίας Κοιμωμένης»;

Η… αδυναμία των έφηβων στον ύπνο είναι δεδομένη αλλά η περίπτωση της Μπεθ Γκούντιερ ξεφεύγει από κάθε πλαίσιο λογικής. Ο…

11 έτη ago

Νέα ανακάλυψη για ακριβή διάγνωση και θεραπεία των εγκεφαλικών

Μια νέα ανακάλυψη Αυστραλών επιστημόνων, που θα συνίσταται σ” ένα απλό τρύπημα στο δάχτυλο, ενδέχεται να βοηθά τους γιατρούς να…

11 έτη ago

Η εκφύλιση της ωχράς κηλίδας, η λουτεΐνη και η ζεαξανθίνη. Ποιες τροφές τις περιέχουν και κάνουν καλό στα μάτια μας;

του Κωνσταντίνου Λούβρου, M.D., medlabnews.gr Η λουτεΐνη και η ζεαξανθίνη είναι οργανικές χρωστικές ουσίες που ανήκουν στην κατηγορία των ξανθοφυλλών…

11 έτη ago

Έρχεται νέα θεραπεία για ασθενείς με πολλαπλό μυέλωμα

Ο Ευρωπαϊκός Οργανισμός Φαρμάκων έκανε δεκτή την αίτηση για αξιολόγηση της ιξαζομίμπης, η οποία πέρσι μάλιστα την προηγούμενη χρονιά έλαβε…

11 έτη ago

Και οι άνδρες κινδυνεύουν από οστεοπόρωση

Λανθασμένα υπάρχει διάχυτη η εντύπωση πως η οστεοπόρωση είναι ουσιαστικά πρόβλημα μόνο των γυναικών. Μία νέα επιστημονική έρευνα από το…

11 έτη ago

Μπορεί να κολλήσει κανείς σεξουαλικά μεταδιδόμενα νοσήματα από τα χρήματα;

Μπορεί τα πολλά χρήματα στη τσέπη να μας κάνουν να νιώθουμε ασφαλείς, θα μπορούσαν όμως να εκθέτουν σε κίνδυνο την…

11 έτη ago

Τα ζευγάρια που μοιράζονται τις δουλειές κάνουν καλύτερο σεξ

Ο ερχομός ενός μωρού αλλάζει δραματικά τις ισορροπίες σε μια οικογένεια και μια από τις σημαντικότερες αλλαγές που βιώνουν τα…

11 έτη ago

Ένα αναπάντεχο όφελος από τη γυμναστική

Ερευνητές υποστηρίζουν πως η άσκηση μπορεί να μειώσει τον κίνδυνο για καρκίνο του μαστού. Η τακτική φυσική δραστηριότητα «χτίζει» μια…

11 έτη ago

Τα Εγκεφαλικά Ημισφαίρια: Δύο διαφορετικοί τρόποι αντίληψης και λειτουργίας στον κόσμο!

Στα περισσότερα όντα ο εγκέφαλος χωρίζεται σε δύο μισά μέρη – τα Εγκεφαλικά Ημισφαίρια. Ενώ στα περισσότερα ζώα τα ημισφαίρια…

11 έτη ago

By continuing to use the site, you agree to the use of cookies