Δόντια

Ματώνουν τα ούλα σας; Μήπως κουνιούνται τα δόντια σας;

Συντάκτης Γιώργος Κουτσικάκης Χειρουργός Οδοντίατρος Μ.Sc., medlabnews.gr
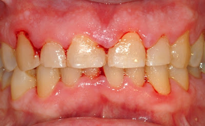
Αν ματώνουν τα ούλα σας όταν τα  βουρτσίζετε ή όταν μασάτε σκληρή τροφή, και αν το ψωμί σας το τρώτε ζυμωμένο με αίμα, τότε πάσχετε από ουλίτιδα.
Πρόκειται για φλεγμονή των ούλων που οφείλεται σε αποικίες μικροβίων, την οδοντική μικροβιακή πλάκα, που επικάθεται στις επιφάνειες των δοντιών σας. Δεν είναι εξωτερική μόλυνση αλλά προέρχεται από μικρόβια που υπάρχουν φυσιολογικά στο στοματικό περιβάλλον. Πάνω στην πλάκα σχηματίζεται η  πέτρα (τρυγία) από τα άλατα του σάλιου. Όταν η στοματική σας υγιεινή είναι πλημμελής  θα μαζευτεί πλάκα και τρυγία και πάλι πλάκα και έτσι ξεκινά ένας φαύλος κύκλος. Η ουλίτιδα δεν είναι μεταδοτική.
Αν παραμείνει  αθεράπευτη η ουλίτιδα είναι δυνατόν να εξελιχθεί σε περιοδοντίτιδα.
Τα ούλα ξεκολλάνε  από τα δόντια σχηματίζοντας θυλάκους ή και υποχωρούν και προσβάλλεται το κόκκαλο που τα στηρίζει.
Τότε  μπορεί να παρατηρήσετε τα δόντια σας να κουνιούνται ή και να μετακινούνται. Π.χ μπορεί να εμφανιστεί ένα κενό μεταξύ των δοντιών. Η μετακίνηση των δοντιών αποδιοργανώνει εντελώς το στοματικό σύστημα. Αν το κόκκαλο καταστραφεί ολοσχερώς γύρο από ένα δόντι, αυτό μπορεί να πέσει χωρίς κανένα άλλο σύμπτωμα.
Τόσο η ουλίτιδα όσο και η περιοδοντίτιδα δεν προκαλούν ιδιαίτερο πόνο, εκτός κι αν παρουσιαστεί κάποιο περιοδοντικό απόστημα. Αλλά και σ’ αυτήν την περίπτωση ο πόνος είναι ήπιος.
Τι πρέπει να κάνετε;  Να πάτε κατευθείαν στον οδοντίατρο. Η ουλίτιδα θεραπεύεται πλήρως και τα πρησμένα ούλα που ματώνουν, σφίγγουν και αποκτούν το φυσιολογικό ροζ χρώμα τους.
Στη θεραπεία της  περιδοντίτιδας  δεν ανακτάται το δόντι που έχει χαθεί, αλλά τα ούλα ξανακολλάνε στα δόντια και έτσι εκείνα μπορεί να λειτουργήσουν φυσιολογικά.
Ο οδοντίατρος θα απομακρύνει την πέτρα από όλες τις επιφάνειες των δοντιών και από τις ρίζες τους. Κατά περίπτωση θα σας συστήσει κάποιο στοματικό διάλυμα ή ειδική οδοντόκρεμα και οδοντόβουρτσα για την περίπτωσή σας. Μπορεί να προβεί σε κάποια ναρθηκοποίηση  (δέσιμο) των δοντιών μεταξύ τους, με διάφορα μέσα, για να αντιμετωπιστεί η κινητικότητα.  Η θεραπεία μπορεί να συμπληρωθεί με χειρουργική παρέμβαση.
Σε κάθε περίπτωση θα σας δώσει λεπτομερείς οδηγίες στοματικής υγιεινής τις οποίες πρέπει να τηρείτε σχολαστικά. Θα σας δείξει το σωστό τρόπο να καθαρίζετε τα δόντια, τόσο με τη βούρτσα όσο και με τα μέσα καθαρισμού των μεσοδοντίων ( οδοντικό νήμα, ειδικά βουρτσάκια συγκεκριμένου μεγέθους, ειδικές οδοντογλυφίδες κ.α.).
Αν  στα ούλα σας εκτός από το αίμα παρατηρήσετε και κάτι σαν πληγές τότε μάλλον πάσχετε από ελκονεκρωτική ουλίτιδα. Αυτή αντιμετωπίζεται με όλα τα παραπάνω αλλά απαιτεί επί πλέον συγκεκριμένη φαρμακευτική θεραπεία. Πάντως είναι μία σπάνια περίπτωση, ενώ τα προηγούμενα είναι αρκετά συνηθισμένα.

 

 

 

 

Πηγή: medlabgr.blogspot.com

Iatrika Nea

Leave a Comment
Share
Published by
Iatrika Nea

Recent Posts

2ο ΠΑΝΕΛΛΗΝΙΟ ΣΥΝΕΔΡΙΟ ΕΞΑΤΟΜΙΚΕΥΜΕΝΗΣ ΙΑΤΡΙΚΗΣ

2ο ΠΑΝΕΛΛΗΝΙΟ ΣΥΝΕΔΡΙΟ ΕΞΑΤΟΜΙΚΕΥΜΕΝΗΣ ΙΑΤΡΙΚΗΣ 17-19 Δεκεμβρίου 2021μ Αθήνα, Ζάππειο Μέγαρο “Είναι σημαντικότερο να γνωρίζουμε…

4 έτη ago

H Roche για ακόμα μια χρονιά «δίνει το παρών» στο Greece Race for the Cure

H Roche για ακόμα μια χρονιά «δίνει το παρών» στο Greece Race for the Cure®…

5 έτη ago

Η Bristol Myers Squibb λαμβάνει έγκρισηγια το azacitidine σε δισκία, ως αρχική θεραπεία συντήρησης για ενήλικες με οξεία μυελογενή λευχαιμία

Η Bristol Myers Squibb λαμβάνει έγκριση από την Ευρωπαϊκή Επιτροπή για το azacitidine σε δισκία,…

5 έτη ago

«Βάζουμε Τρίποντο στην Υγεία»

 «Βάζουμε Τρίποντο στην Υγεία» Εξαιρετικά αποτελέσματα από τα δύο εξειδικευμένα εκπαιδευτικά παιχνίδια της ΠΟΣΣΑΣΔΙΑ για…

5 έτη ago

H CSL Behring Hellas στηρίζει τη Φοιτητική Ομάδα iGEM Athens 2020

H CSL Behring Hellas στηρίζει τη Φοιτητική Ομάδα iGEM Athens 2020 Με την συμβολή της…

5 έτη ago

Άμεση προτεραιότητα και οι δομικές μεταρρυθμίσεις για τον περιορισμό της φαρμακευτικής δαπάνης

PhRMA Innovation Forum: Άμεση προτεραιότητα η αποκατάσταση της στρεβλής εικόνας των συνολικών επιστροφών και οι…

5 έτη ago

By continuing to use the site, you agree to the use of cookies