της Κλεοπάτρας Ζουμπουρλή, μοριακή βιολόγος, medlabnews.gr
Η χρωμογρανίνη Α (ΑΧΕ) είναι μια γλυκοπρωτεΐνη ιδιαίτερα γνωστή κλινικά ως biohumoral ειδικός δείκτη για νευροενδοκρινείς όγκους (ΝΕΤ).
Οι νευροενδοκρινικοί όγκοι είναι νεοπλάσματα που προκύπτουν από κύτταρα του ενδοκρινικού και νευρικού συστήματος που παράγουν και εκκρίνουν ρυθμιστικές ορμόνες. Πολλοί είναι καλοήθεις, ενώ μερικοί είναι κακοήθεις. Πιο συχνά συμβαίνουν στο έντερο, όπου συχνά καλούνται καρκινοειδείς όγκοι άλλα επίσης στον πνεύμονα και το υπόλοιπο του σώμα. Κατατάσσονται στην κατηγορία των σπάνιων ογκολογικών νοσημάτων και αποτελούνται από ένα φάσμα κακοηθειών που δημιουργούνται από νευροενδοκρινή κύτταρα σε όλο τον οργανισμό..
Αν και υπάρχουν πολλά είδη τέτοιων όγκων, αντιμετωπίζονται ως μια ομάδα, επειδή τα κύτταρα των νεοπλασμάτων αυτών μοιράζονται κοινά χαρακτηριστικά, όπως το ότι δείχνουν όμοια, έχοντας ειδικά εκκριτικά κοκκία, και συχνά παράγουν βιογενείς αμίνες και πολυπεπτιδικές ορμόνες.
Οι χρωμογρανίνες διακρίνονται στις μορφές Α, Β και C και ανευρίσκονται στα ενδοκρινικά κύτταρα ολοκλήρου του σώματος, όπως και στο περιφερικό και κεντρικό νευρικό σύστημα. Η χρωμογρανίνη Α αποθηκεύεται στα κυτταροπλασματικά κυστίδια των κυττάρων χρωματίνης στο μυελό των επινεφριδίων και εκκρίνεται ταυτόχρονα με τις κατεχολαμίνες, τόσο από τα φυσιολογικά κύτταρα του μυελού, όσο και τα κύτταρα του φαιοχρωμοκυτώματος και ταυτόχρονα με άλλες πεπτιδικές ορμόνες από τα κύτταρα των νησιδίων του παγκρέατος, εντερο-ενδοκρινή κύτταρα, κύτταρα των παραθυρεοειδών, τα παραθυλακιώδη κύτταρα του θυρεοειδούς και την υπόφυση.
Τα επίπεδα της χρωμογρανίνης-A (CgA) σχετίζονται με την σοβαρότητα της νόσου, καθώς οι ασθενείς με ΝΕΤ εμφάνισαν προοδευτικώς υψηλότερα επίπεδα της CgA, στο διάστημα που η νόσος εξελισσόταν. Επίσης η CgA είναι ο πρώτος δείκτης ο οποίος αναγνωρίζει την επανεμφάνιση της νόσου στις περισσότερες περιπτώσεις. Η μέτρηση της CgA αποτελεί σημαντικό διαγνωστικό εργαλείο, καθώς τα υψηλά επίπεδα της στους ασθενείς με προχωρημένη νόσο ΝΕΤ υποδηλώνουν μεγάλο φορτίο όγκου, το οποίο αναφέρεται στο μέγεθος των όγκων ή στον συνολικό αριθμό καρκινικών κυττάρων στον οργανισμό. Κάποιοι ασθενείς με μεταστατικούς καρκινικούς όγκους εμφανίζουν επίπεδα CgA που υπερβαίνουν έως και 1.000 φορές το ανώτατο όριο του φυσιολογικού εύρους τιμών.
Σημαντικές αυξήσεις της χρωμογρανίνης Α συμβαίνουν επίσης σε καρκινώματα που περιέχουν κύτταρα με μερική διαφοροποίηση των νευροενδοκρινικών, όπως μικροκυτταρικού καρκίνου του πνεύμονα και καρκίνου του προστάτη. H χρησιμότητα της παρακολούθησης της χρωμογρανίνης Α του ορού σε αυτούς τους όγκους, είναι σημαντική. Θεωρείται πως υψηλά επίπεδα χρωμογρανίνης Α σε όγκους του προστάτη μπορεί να είναι ένας δείκτης κακής πρόγνωσης, πιθανώς λόγω της έλλειψης απόκρισης αυτών των κυττάρων σε αντι-ανδρογόνο θεραπεία .
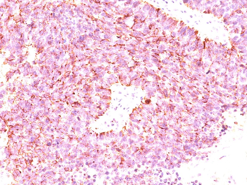
Οι όγκοι αυτοί ιστολογικά χαρακτηρίζονται από την παρουσία νευροεκκριτικών κοκκίων τα οποία δίνουν θετική τη χρώση χρωμογρανίνης Α, κάτι που αποτελεί και μέθοδο ιστολογικής ανίχνευσής τους. Οι χρωμογρανίνες είναι παρούσες σχεδόν σε όλους τους ενδοκρινείς ή νευρικούς ιστούς. Τα επίπεδα πλάσματος της χρωμογρανίνης Α (CgA) βρίσκονται υψηλά σε περισσότερο από το 90% των ασθενών με διάφορα pNETs, χωρίς τα επίπεδα αυτά να είναι σίγουρο ότι συμπεριφέρονται ως δείκτες κακοήθειας όπως είχε παλαιότερα λεχθεί. Το παγκρεατικό πολυπεπτίδιο (PP) έχει προταθεί επίσης για να διαδραματίσει αυτό το ρόλο, αλλά δεν χρησιμοποιείται λόγω της χαμηλής ευαισθησίας και ειδικότητας που έχει (54% και 57% αντίστοιχα) στα PNETs. Ο συνδυασμός και των δύο αυτών πεπτιδίων για τα pNETs και για τα NF-pNETs συγκριτικά με τη χρωμογρανίνη, δίνει ευαισθησία που ανέρχεται στο 95% έναντι 75%.
Η παρακολούθηση των επιπέδων των χρωμογρανίνης Α είναι χρήσιμη στην παρακολούθηση, ή για την αξιολόγηση της εξέλιξης στο χρόνο της νεοπλασματικής νόσου και την αποτελεσματικότητα των θεραπευτικών αγωγών που αναλαμβάνονται.
Τα επίπεδα της χρωμογρανίνης Α ορού αποτελούν ένα πολύ χρήσιμο διαγνωστικό βοήθημα, δεδομένου ότι οι όγκοι είναι νευροενδοκρινείς όγκοι, που είναι δύσκολο να εντοπιστούν στα αρχικά στάδια, λόγω του μικρού τους μεγέθους, της αργής ανάπτυξης και με μη ειδικά συμπτώματα, τα οποία, όταν υπάρχουν, μπορούν να περιλαμβάνουν διάρροια, ναυτία, έμετο, ταχυκαρδία, αίσθημα καύσου στο πρόσωπο και το λαιμό, με τοπική ερυθρότητα, δύσπνοια, βήχα και δυσκολία στην αναπνοή.
Η χρωμογρανίνη Α είναι καλύτερος δείκτης της Β, αν και σε μερικές περιπτώσεις, η Β αυξάνεται, συγκριτικά με την Α.
Προσοχή
Υψηλά επίπεδα χρωμογρανίνης Α βρίσκονται στην παρουσία σοβαρής ψυχολογικής και σωματικής καταπόνησης, νεφρική και ηπατική ανεπάρκεια, και στην περίπτωση της πρόσληψης συγκεκριμένων φαρμάκων, όπως η ομεπραζόλη και άλλοι αναστολείς αντλίας πρωτονίων.
Πηγή: medlabgr.blogspot.com
Ιατρικά Νέα Θέματα για την υγεία | Το εγκυρότερο ελληνικό portal με θέματα υγείας, διατροφής, ομορφιάς, φυσικής κατάστασης, ιατρικών θεμάτων


