του Ξενοφώντα Τσούκαλη, M.D., medlabnews.gr
Ο πόνος στους όρχεις, (ορχεοδυνία) είναι το αίσθημα πόνου ή δυσφορίας στον ένα η και στους δύο όρχεις. Ο πόνος μπορεί να προέρχεται από τον όρχι ή και από τους δύο ή να είναι αντανακλαστικός από άλλα όργανα (π.χ κολικός νεφρού). Αντανακλάται στο κάτω μέρος της κοιλιάς και γι’ αυτό χρειάζεται ιδιαίτερη προσοχή, για την ορθή διάγνωση. Υπάρχουν πολλές καταστάσεις που μπορεί να προκαλέσουν πόνο στους όρχεις, αλλά κάποιες είναι επείγουσες όπως η συστροφή του όρχι και η οξεία επιδιδυμίτιδα.
Ο δυνατός πόνος στους όρχεις απαιτεί άμεση ιατρική εξέταση και φροντίδα. Σε άνδρες με πόνο στην κοιλιά, χρειάζεται πάντοτε να εξετάζονται οι όρχεις και το όσχεο.
Ο πόνος μπορεί να είναι οξύς (πολύ δυνατός) ή χρόνιος, μόνιμος ή διαλείπων και ή ένταση του να κυμαίνεται από ήπια ως σοβαρή. Οξύ πόνο προκαλεί συνήθως το τραύμα, η συστροφή και η φλεγμονή του όρχι.
Σε μερικές περιπτώσεις παθήσεων των όρχεων, ο πόνος στην κοιλιά, δυνατόν να εμφανιστεί προτού να εντοπιστεί στους όρχεις. Αυτό συμβαίνει στη συστροφή των όρχεων, όπου η παροχή αίματος στους όρχεις σταματά.
Η συστροφή των όρχεων, είναι μια επείγουσα ιατρική κατάσταση. Η ισχαιμία που δημιουργείται στο όργανο, μπορεί εάν δεν αντιμετωπιστεί εντός μερικών ωρών, να προκαλέσει τη νέκρωση του. Χρειάζεται άμεσα μια σειρά ενεργειών για άρση της συστροφής και εάν αυτές αποτύχουν να γίνει άμεσα χειρουργική ανάταξη .
Ξαφνική έναρξη του πόνου , μετά από κάποια προσπάθεια ή κατά την διάρκεια του ύπνου ,μεγάλη ευαισθησία στην ψηλάφηση του όρχεως , περιοδικά αυξανόμενο άλγος και με συνωδά συμπτώματα ναυτίας ή και εμέτους , παραπέμπουν σε συστροφή , ενώ υψηλή πυρετική κίνηση με σχετικά αργή διόγκωση του ημιοσχέου , με οίδημα και ερύθημα , συνοδευόμενα από άλγος ούρησης ή και εκσπερμάτωσης με ενδεχόμενη αιμοσπερμία και πυοσφαίρια στα ούρα ,παραπέμπει σε οξεία φλεγμονή της επιδιδυμίδος.
Ο καρκίνος στους όρχεις δεν προκαλεί πόνο. Ωστόσο, κάθε φορά που ένας άνδρας διαπιστώνει ότι υπάρχει ένα οζίδιο ή μια μάζα στους όρχεις του, χρειάζεται να εξεταστεί από γιατρό.
Oι όρχεις, οι γεννητικοί αδένες του άντρα, είναι δυο. Φυσιολογικά κρέμονται στα πλάγια της ρίζας του πέους. Ο αριστερός όρχις βρίσκεται συνήθως σε χαμηλότερη θέση από το δεξιό. Έχουν όγκο από 15–35 κυβικά εκατοστά ( cm ³) ο καθένας, ενώ έχουν βάρος 25 γραμμάρια περίπου. Κατά το τέλος της εμβρυϊκής ζωής, πριν από τη γέννηση βγαίνουν από το εσωτερικό της κοιλιάς, από τους βουβωνικούς πόρους και εγκαθίστανται στην κανονική τους θέση, σ’ ένα σάκο από δέρμα, που ονομάζεται όσχεο.
Οι όρχεις επιτελούν δυο λειτουργίες: α) παράγουν ανδρικές ορμόνες (κύρια ορμόνη η τεστοστερόνη), β) παράγουν σπερματοζωάρια. Προβλήματα ανάπτυξης, καθόδου των όρχεων μπορούν να σχετίζονται με προβλήματα γονιμότητας ή σεξουαλικότητας κατά την ενήλικη ζωή. Η θερμοκρασία των όρχεων μέσα στο όσχεο είναι κατά 2ο C περίπου χαμηλότερη από τη θερμοκρασία του εσωτερικού της κοιλιάς, πράγμα που έχει αποδειχθεί ότι αποτελεί βασική προϋπόθεση για τη σπερματογένεση. Εκτός από την παραγωγή των σπερματοζωαρίων, οι όρχεις έχουν και μια άλλη αποστολή: παράγουν τη γνωστή ανδρική ορμόνη τεστοστερόνη. Η τεστοστερόνη παράγεται από τα λεγόμενα διάμεσα κύτταρα του όρχεως ή κύτταρα του Leydig , τα οποία βρίσκονται έξω από τα σπερματικά σωληνάρια, ανάμεσα στις περιελίξεις τους. Η παρουσίας τεστοστερόνης στον όρχι είναι απολύτως απαραίτητη για παραγωγή σπερματοζωαρίων.
Οι συχνότερες αιτίες πρόκλησης πόνου στους όρχεις είναι:
Τραυματισμός
Μόλυνση
Φλεγμονή
Συστροφή όρχι, που είναι πάθηση η οποία συμβαίνει συχνότερα σε άνδρες ηλικίας από 10 έως 20 ετών
Συλλογή υγρών
Κήλη
Συνεχής στύση,
πριαπισμός
Στις μολύνσεις που προσβάλλουν τους όρχεις, περιλαμβάνονται:
Η επιδιδυμίτιδα
Η ορχίτιδα
Ο χρόνιος ορχικός πόνος (χρόνια ορχεοδυνία) είναι η κατάσταση, όπου το σύμπτωμα επιμένει πάνω από 3 μήνες και επηρεάζει την καθημερινότητα του ασθενή. Συνήθως, είναι μικρότερης έντασης από τον οξύ πόνο και έχει περιοδικό χαρακτήρα. Στα αίτια αναφέρονται η κιρσοκήλη, η υδροκήλη, οι κύστεις επιδιδυμίδας, η βουβωνοκήλη και τα νεοπλάσματα. Επίσης, μπορεί να είναι αποτέλεσμα φλεγμονής του προστάτη, λιθίασης ουροποιητικού, συνδρόμου ευερέθιστου εντέρου ή να εντάσσεται στο πλαίσιο του συνδρόμου χρόνιου πυελικού άλγους.
Ποιος έλεγχος βοηθάει σημαντικά στην διάγνωση
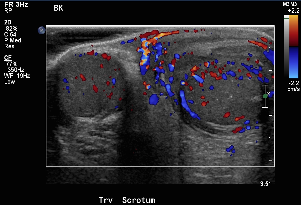
Στις περισσότερες περιπτώσεις ό Υπερηχογραφικός έλεγχος , θα δώσει πολύ μεγάλη βοήθεια στην διάγνωση της ασθένειας με στόχο την άμεση αντιμετώπιση. Αυτά πού μπορούμε να αξιολογήσουμε με το Υπερηχογράφημα και το έγχρωμο Doppler όρχεως , είναι ή ύπαρξη ή όχι αιματικής ροής στον όρχι για διάγνωση της συστροφής ή της φλεγμονής και βέβαια και σαφείς εικόνες ρήξης ορχικού παρεγχύματος , πιθανής συλλογής πύου ή και αίματος στο όσχεο , όγκους όρχεων ή και πιθανές κήλες. Η αντιμετώπιση της κατάστασης εξαρτάται από την αιτία, με την συστροφή όρχεως να απαιτεί την άμεση χειρουργική αποκατάσταση στην περίπτωση αποτυχίας των συντηρητικών χειρισμών.
Πηγή: medlabgr.blogspot.com
Ιατρικά Νέα Θέματα για την υγεία | Το εγκυρότερο ελληνικό portal με θέματα υγείας, διατροφής, ομορφιάς, φυσικής κατάστασης, ιατρικών θεμάτων



