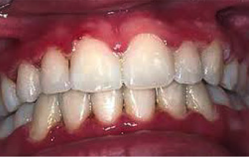
Χαρακτηρίζεται από έντονο πόνο και πληγές στις παρυφές των ούλων που βρίσκονται μεταξύ των δοντιών (μεσοδόντια ούλα). Τα ούλα καλύπτονται από ψευδομεμβράνες, αιμορραγούν εύκολα ενώ παρουσιάζεται κακοσμία και συχνά μεταλλική γεύση.
Οφείλεται σε αναερόβια μικρόβια (κυρίως καπνοβακτηρίδια και σπειροχέτες).
Δεν είναι μεταδοτική με κανένα τρόπο.
H οξεία ελκονεκρωτική ουλίτιδα αποτελεί μία ξεχωριστή πάθηση των ούλων που δεν οφείλεται αποκλειστικά σε πλημμελή στοματική υγιεινή και συσσώρευση της οδοντικής μικροβιακής πλάκας. Προδιαθεσικοί παράγοντες είναι η κακή στοματική υγιεινή, το κάπνισμα, η κακή διατροφή, αλλά κυρίως το ψυχολογικό στρες και η ανοσοκαταστολή (όταν το ανοσοποιητικό σύστημα του οργανισμού έχει καταπέσει).
Η ελκονεκρωτική ουλίτιδα μπορεί να εμφανίζεται σε οξεία ή χρόνια μορφή με επαναλαμβανόμενα επεισόδια, να εξελίσσεται σε ελκονεκρωτική περιοδοντίτιδα, στοματίτιδα ή φαρυγγίτιδα ή να συνυπάρχει με τα νοσήματα αυτά.
Στις αναπτυγμένες χώρες εμφανίζεται συνήθως σε νεαρούς ενήλικες. Εμφανίζεται και σε ασθενείς με AIDS.
Θεραπευτικά χορηγούμε το αντιβιοτικό μετρανιδαζόλη, τρεις φορές την ημέρα για δέκα συνήθως ημέρες και συνήθη παυσίπονα φάρμακα. Συνιστούμε καλή στοματική υγιεινή και πλύσεις με οξυζενέ. Όταν τα έντονα συμπτώματα υποχωρήσουν κάνουμε καλό καθαρισμό των δοντιών μαζί με υπουλικές αποξέσεις.
Η οξεία ελκονεκρωτική ουλίτιδα θεραπεύεται οριστικά.
ΔΙΑΒΑΣΤΕ ΟΛΟΚΛΗΡΟ ΤΟ ΑΡΘΡΟ > >
2ο ΠΑΝΕΛΛΗΝΙΟ ΣΥΝΕΔΡΙΟ ΕΞΑΤΟΜΙΚΕΥΜΕΝΗΣ ΙΑΤΡΙΚΗΣ 17-19 Δεκεμβρίου 2021μ Αθήνα, Ζάππειο Μέγαρο “Είναι σημαντικότερο να γνωρίζουμε…
H Roche για ακόμα μια χρονιά «δίνει το παρών» στο Greece Race for the Cure®…
Η Bristol Myers Squibb λαμβάνει έγκριση από την Ευρωπαϊκή Επιτροπή για το azacitidine σε δισκία,…
«Βάζουμε Τρίποντο στην Υγεία» Εξαιρετικά αποτελέσματα από τα δύο εξειδικευμένα εκπαιδευτικά παιχνίδια της ΠΟΣΣΑΣΔΙΑ για…
H CSL Behring Hellas στηρίζει τη Φοιτητική Ομάδα iGEM Athens 2020 Με την συμβολή της…
PhRMA Innovation Forum: Άμεση προτεραιότητα η αποκατάσταση της στρεβλής εικόνας των συνολικών επιστροφών και οι…
By continuing to use the site, you agree to the use of cookies
Leave a Comment