Categories: Υγεία

Κατάγματα πλευρών – οξύ θωρακικό άλγος. Συμπτώματα και θεραπεία

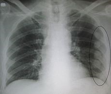
Κάταγμα μιας πλευράς σε τραυματία χωρίς αναπνευστική δυσχέρεια
Το κάταγμα μιας πλευράς μπορεί να προκληθεί από ατύχημα (σοκ ή σύνθλιψη, όπως κατά τη διάρκεια κάποιου τροχαίου ατυχήματος) ή αυτενεργώς, όπως συμβαίνει στην περίπτωση σοβαρής έλλειψης μεταλλικών στοιχείων από τα οστά, η οποία εξασθενεί τη φυσική οστική πυκνότητα (αυτό αποτελεί πολύ σπάνιο φαινόμενο).
Ακόμη και όταν ο τραυματισμός μοιάζει ελαφρύς (ο θώρακας είναι κλειστός, δηλαδή δεν παρατηρείται εξωτερικό τραύμα), δεν αποκλείεται η περίπτωση ρήξης του ενός ή και των δύο πνευμόνων λόγω της πίεσης που ασκήθηκε από μία ή περισσότερες πλευρές. Γι’ αυτό τον λόγο είναι απαραίτητη η ακτινογραφία. Ένας άλλος κίνδυνος τον οποίο διατρέχει ο τραυματίας είναι, ως αντίδραση στον πόνο, να μειωθεί ο συνήθης όγκος εισπνεόμενου αέρα, με αποτέλεσμα να εκτεθεί σε ανεπαρκή πνευμονική κυκλοφορία.

Συμπτώματα. Παρατηρείται πολύ έντονος πόνος στην πλευρά η οποία έχει υποστεί κάταγμα, κυρίως εάν βρίσκεται κοντά στην περιοχή της κοιλιάς. Ο πόνος γίνεται εντονότερος με την αναπνοή και τον βήχα. Καμία στάση δεν μπορεί να ανακουφίσει τον τραυματία.

Θεραπεία. Εξαρτάται από τη σοβαρότητα του κατάγματος. Συνήθως ο γιατρός χορηγεί αναλγητικά από το στόμα για δέκα περίπου ημέρες. Η χρήση μέσων για τη στήριξη του κατάγματος στη θέση του, π.χ. επίδεσμοι ή ημι-ελαστικοί επίδεσμοι, μπορεί να ανακουφίσει τον τραυματία και η τοποθέτησή τους δεν απαγορεύεται, υπό την προϋπόθεση ότι ο ασθενής δεν πάσχει από χρονία αναπνευστική δυσχέρεια.
Στην περίπτωση κατάγματος των κατώτατων πλευρών είναι απαραίτητη η εξέταση της κοιλιάς για τη διάγνωση πιθανών ρήξεων σε κάποια από τα εσωτερικά όργανα (σπλήνα, συκώτι, νεφροί). Ο τραυματίας πιθανόν να εισαχθεί στο νοσοκομείο για περαιτέρω έλεγχο.
Οι πλευρές θεραπεύονται σχετικά γρήγορα (4 έως 6 εβδομάδες).

Κάταγμα μιας πλευράς σε τραυματία με αναπνευστική δυσχέρεια
Το κάταγμα των πλευρών, ανεξαρτήτως της σοβαρότητας του, όταν συμβαίνει σε κάποιον ο οποίος πάσχει από άσθμα ή χρονία βρογχίτιδα, χρήζει άμεσης ιατρικής παρέμβασης. Λόγω του έντονου πόνου στην περιοχή του θώρακα σε κάθε αναπνευστική προσπάθεια, ο τραυματίας προσπαθεί αυτομάτως να μειώσει τον ρυθμό της αναπνοής του ή να βήξει, γεγονός που έχει ως συνέπεια τη συμφόρηση του βρογχικού δένδρου, δηλαδή έναν κίνδυνο στον οποίο είναι συνεχώς εκτεθειμένος. Υπάρχει συνεπώς πιθανότητα να τεθούν σε κίνδυνο οι ζωτικές του λειτουργίες λόγω της αναπνευστικής του δυσχέρειας.

Θεραπεία. Είναι απαραίτητη η εισαγωγή του τραυματία στο νοσοκομείο για παρακολούθηση. Ο γιατρός θα προσπαθήσει να ηρεμήσει τον πόνο ώστε να επιτρέψει στον τραυματία να βρει έναν ικανοποιητικό αναπνευστικό ρυθμό. Μπορεί να ακολουθηθεί θεραπευτική αναλγητική αγωγή που βασίζεται στη διήθηση των μεσοπλευρίων νεύρων, τα οποία αντιστοιχούν στις πλευρές που έχουν υποστεί κάταγμα και στα μεσοπλεύρια κενά. Ο τραυματίας θα ακολουθήσει εντατικές συνεδρίες αναπνευστικής φυσικοθεραπείας από την πρώτη ημέρα του τραυματισμού του σε συνδυασμό με βρογχοδιασταλτικά και εισπνεόμενα, ώστε να διευκολυνθεί ο αερισμός των βρόγχων. Ο τραυματίας θα παραμείνει στο νοσοκομείο περίπου μία εβδομάδα, ενώ οι συνεδρίες φυσικοθεραπείας πρέπει να διαρκέσουν συνολικά δύο εβδομάδες. Η παρακολούθηση του τραυματία είναι μακρά.
Αντωνακάκης Ε. Σωκράτης
Γενικός Χειρουργός
rhodosgeneralsurgery.blogspot.gr

Iatrika Nea

Leave a Comment
Share
Published by
Iatrika Nea

Recent Posts

2ο ΠΑΝΕΛΛΗΝΙΟ ΣΥΝΕΔΡΙΟ ΕΞΑΤΟΜΙΚΕΥΜΕΝΗΣ ΙΑΤΡΙΚΗΣ

2ο ΠΑΝΕΛΛΗΝΙΟ ΣΥΝΕΔΡΙΟ ΕΞΑΤΟΜΙΚΕΥΜΕΝΗΣ ΙΑΤΡΙΚΗΣ 17-19 Δεκεμβρίου 2021μ Αθήνα, Ζάππειο Μέγαρο “Είναι σημαντικότερο να γνωρίζουμε…

4 έτη ago

H Roche για ακόμα μια χρονιά «δίνει το παρών» στο Greece Race for the Cure

H Roche για ακόμα μια χρονιά «δίνει το παρών» στο Greece Race for the Cure®…

5 έτη ago

Η Bristol Myers Squibb λαμβάνει έγκρισηγια το azacitidine σε δισκία, ως αρχική θεραπεία συντήρησης για ενήλικες με οξεία μυελογενή λευχαιμία

Η Bristol Myers Squibb λαμβάνει έγκριση από την Ευρωπαϊκή Επιτροπή για το azacitidine σε δισκία,…

5 έτη ago

«Βάζουμε Τρίποντο στην Υγεία»

 «Βάζουμε Τρίποντο στην Υγεία» Εξαιρετικά αποτελέσματα από τα δύο εξειδικευμένα εκπαιδευτικά παιχνίδια της ΠΟΣΣΑΣΔΙΑ για…

5 έτη ago

H CSL Behring Hellas στηρίζει τη Φοιτητική Ομάδα iGEM Athens 2020

H CSL Behring Hellas στηρίζει τη Φοιτητική Ομάδα iGEM Athens 2020 Με την συμβολή της…

5 έτη ago

Άμεση προτεραιότητα και οι δομικές μεταρρυθμίσεις για τον περιορισμό της φαρμακευτικής δαπάνης

PhRMA Innovation Forum: Άμεση προτεραιότητα η αποκατάσταση της στρεβλής εικόνας των συνολικών επιστροφών και οι…

5 έτη ago

By continuing to use the site, you agree to the use of cookies